新浪微博
关注微信
注册
登陆
阴阳平衡
中医健康之道
做福人世
♥肺炎链球菌性肺炎
♥症状体征
♥用药治疗
♥饮食保健
♥预防护理
♥病理病因
♥疾病诊断
♥检查方法
♥并发症
♥预后
♥发病机制
中医健道首页
>>肺炎链球菌性肺炎概述
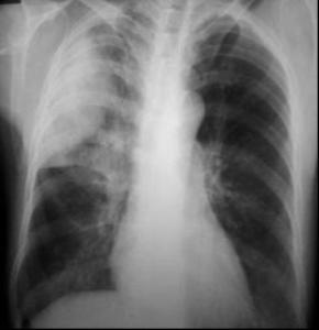
链球菌(streptococcus)是化脓性球菌中的一大类常见细菌,为链状或者成双排列的革兰阳性球菌。广泛分布于自然界和人类的上呼吸道、胃肠道、泌尿道及生殖道中。其种类繁多,且大多不致病。但致病者可引起各种化脓性炎症,常见的如猩红热、丹毒等,以及链球菌感染后的变态反应性疾病,如风湿热、肾小球肾炎等。链球菌中的致病菌主要为A族,亦称化脓性链球菌(pyogenic streptococcus),可引起人类肺炎。
【۩相关文章】
【☺用户提问】
肺炎链球菌性肺炎是什么病?
什么叫做肺炎链球菌性肺炎?
肺炎链球菌性肺炎如何治疗?
肺炎链球菌性肺炎怎么预防?
肺炎链球菌性肺炎病因是什么?
肺炎链球菌性肺炎吃什么药好?
肺炎链球菌性肺炎吃什么好的快?
如何让肺炎链球菌性肺炎好的快?
中医如何治疗肺炎链球菌性肺炎?
西医如何治疗肺炎链球菌性肺炎?
得了肺炎链球菌性肺炎怎么办 需要怎么做?
吃什么食物对肺炎链球菌性肺炎有好处?
肺炎链球菌性肺炎的原因是什么?
人为什么会得肺炎链球菌性肺炎?
肺炎链球菌性肺炎要注意些什么?
肺炎链球菌性肺炎要多久才能好?
肺炎链球菌性肺炎严重,会导致什么?
怎么才能让肺炎链球菌性肺炎快点好?
肺炎链球菌性肺炎应该怎样做才能好得快?
肺炎链球菌性肺炎不能吃那些东西?
肺炎链球菌性肺炎了怎么样才能好受点?
如何才能快速的治愈肺炎链球菌性肺炎?
肺炎链球菌性肺炎有多少种?
肺炎链球菌性肺炎时吃什么水果好?
肺炎链球菌性肺炎需要注意些什么?
肺炎链球菌性肺炎煲什么烫好吃
如何快速有效的治疗肺炎链球菌性肺炎?
肺炎链球菌性肺炎分哪几种类型?
如何防止肺炎链球菌性肺炎?
什么偏方对肺炎链球菌性肺炎 有用
得了肺炎链球菌性肺炎有什么小秘方
什么药方对肺炎链球菌性肺炎 有用
长期肺炎链球菌性肺炎不好 怎么解决
肺炎链球菌性肺炎吃药好还是自然痊愈好?
各种肺炎链球菌性肺炎症状和常识用药
肺炎链球菌性肺炎后要吃些什么?注意些什么?
۩ 肺炎链球菌性肺炎
۞ 肺炎链球菌性肺炎的概述
۞ 肺炎链球菌性肺炎的症状体征
۞ 肺炎链球菌性肺炎的用药治疗
۞ 肺炎链球菌性肺炎的饮食保健
۞ 肺炎链球菌性肺炎的预防护理
۞ 肺炎链球菌性肺炎的病理病因
۞ 肺炎链球菌性肺炎的疾病诊断
۞ 肺炎链球菌性肺炎的检查方法
۞ 肺炎链球菌性肺炎的并发症
۞ 肺炎链球菌性肺炎的预后
۞ 肺炎链球菌性肺炎的发病机制
中医首页
疾病大全
药方功能
中医养生
中医药库
古今名医
中医医案
中医常识
中医问答
中医养生有道
中医白领养生
中医男人养生
中医女人养生
中医延年益寿
中医少儿益智
中医春季养生
中医夏季养生
中医秋季养生
中医冬季养生
中医美容
美容有方
明星美容秘方
中医祛斑
中医祛皱
中医祛痘
中医护发
中医美乳丰胸
中医美白
药膳食疗
食之有味
四季食疗
性福药膳
疾病食疗
美容药膳
减肥药膳
药粥
药酒
药茶
煲汤
中医减肥
中药减肥
针灸减肥
脐疗减肥
埋线减肥
小儿推拿
三伏天灸
动态前沿
误区提醒
针灸推拿
针刺艾灸
推拿按摩
刮痧
拔罐
耳穴奇谈
针灸美容
针灸减肥
疾病针灸
特色脐疗
望闻问切
四诊合参
小儿四诊
望神观色
五官五轮
听声闻味
百问其症
指上谈病
舌象图解
悬丝诊脉
© 2015-2016 vjvd.com All Rights Reserved.