新浪微博
关注微信
注册
登陆
阴阳平衡
中医健康之道
做福人世
♥肺炎性假瘤
♥名称
♥概述
♥病因
♥临床表现
♥诊断
♥检查化验
♥鉴别诊断
♥并发症
♥治疗措施
♥预防
中医健道首页
>>肺炎性假瘤概述
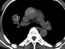
肺炎性假瘤是肺内良性肿块,是由肺内慢性炎症产生的肉芽肿、机化、纤维结缔组织增生及相关的继发病变形成的肿块,并非真正肿瘤。肺炎性假瘤较常见。
【۩相关文章】
【☺用户提问】
肺炎性假瘤是什么病?
什么叫做肺炎性假瘤?
肺炎性假瘤如何治疗?
肺炎性假瘤怎么预防?
肺炎性假瘤病因是什么?
肺炎性假瘤吃什么药好?
肺炎性假瘤吃什么好的快?
如何让肺炎性假瘤好的快?
中医如何治疗肺炎性假瘤?
西医如何治疗肺炎性假瘤?
得了肺炎性假瘤怎么办 需要怎么做?
吃什么食物对肺炎性假瘤有好处?
肺炎性假瘤的原因是什么?
人为什么会得肺炎性假瘤?
肺炎性假瘤要注意些什么?
肺炎性假瘤要多久才能好?
肺炎性假瘤严重,会导致什么?
怎么才能让肺炎性假瘤快点好?
肺炎性假瘤应该怎样做才能好得快?
肺炎性假瘤不能吃那些东西?
肺炎性假瘤了怎么样才能好受点?
如何才能快速的治愈肺炎性假瘤?
肺炎性假瘤有多少种?
肺炎性假瘤时吃什么水果好?
肺炎性假瘤需要注意些什么?
肺炎性假瘤煲什么烫好吃
如何快速有效的治疗肺炎性假瘤?
肺炎性假瘤分哪几种类型?
如何防止肺炎性假瘤?
什么偏方对肺炎性假瘤 有用
得了肺炎性假瘤有什么小秘方
什么药方对肺炎性假瘤 有用
长期肺炎性假瘤不好 怎么解决
肺炎性假瘤吃药好还是自然痊愈好?
各种肺炎性假瘤症状和常识用药
肺炎性假瘤后要吃些什么?注意些什么?
۩ 肺炎性假瘤
۞ 肺炎性假瘤的概述
۞ 肺炎性假瘤的名称
۞ 肺炎性假瘤的概述
۞ 肺炎性假瘤的病因
۞ 肺炎性假瘤的临床表现
۞ 肺炎性假瘤的诊断
۞ 肺炎性假瘤的检查化验
۞ 肺炎性假瘤的鉴别诊断
۞ 肺炎性假瘤的并发症
۞ 肺炎性假瘤的治疗措施
۞ 肺炎性假瘤的预防
中医首页
疾病大全
药方功能
中医养生
中医药库
古今名医
中医医案
中医常识
中医问答
中医养生有道
中医白领养生
中医男人养生
中医女人养生
中医延年益寿
中医少儿益智
中医春季养生
中医夏季养生
中医秋季养生
中医冬季养生
中医美容
美容有方
明星美容秘方
中医祛斑
中医祛皱
中医祛痘
中医护发
中医美乳丰胸
中医美白
药膳食疗
食之有味
四季食疗
性福药膳
疾病食疗
美容药膳
减肥药膳
药粥
药酒
药茶
煲汤
中医减肥
中药减肥
针灸减肥
脐疗减肥
埋线减肥
小儿推拿
三伏天灸
动态前沿
误区提醒
针灸推拿
针刺艾灸
推拿按摩
刮痧
拔罐
耳穴奇谈
针灸美容
针灸减肥
疾病针灸
特色脐疗
望闻问切
四诊合参
小儿四诊
望神观色
五官五轮
听声闻味
百问其症
指上谈病
舌象图解
悬丝诊脉
© 2015-2016 vjvd.com All Rights Reserved.