新浪微博
关注微信
注册
登陆
阴阳平衡
中医健康之道
做福人世
♥肺隐球菌病
♥名称
♥概述
♥病因
♥临床体征
♥诊断
♥检查化验
♥鉴别诊断
♥并发症
♥治疗
♥预防
中医健道首页
>>肺隐球菌病概述
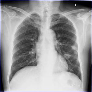
肺隐球菌病为新型隐球菌感染引起的亚急性或慢性内脏真菌病。此菌属腐生酵母菌,不形成菌丝和孢子,广泛存在于自然界中。机体免疫功能低下为发病的主要诱因。
【۩相关文章】
【☺用户提问】
肺隐球菌病是什么病?
什么叫做肺隐球菌病?
肺隐球菌病如何治疗?
肺隐球菌病怎么预防?
肺隐球菌病病因是什么?
肺隐球菌病吃什么药好?
肺隐球菌病吃什么好的快?
如何让肺隐球菌病好的快?
中医如何治疗肺隐球菌病?
西医如何治疗肺隐球菌病?
得了肺隐球菌病怎么办 需要怎么做?
吃什么食物对肺隐球菌病有好处?
肺隐球菌病的原因是什么?
人为什么会得肺隐球菌病?
肺隐球菌病要注意些什么?
肺隐球菌病要多久才能好?
肺隐球菌病严重,会导致什么?
怎么才能让肺隐球菌病快点好?
肺隐球菌病应该怎样做才能好得快?
肺隐球菌病不能吃那些东西?
肺隐球菌病了怎么样才能好受点?
如何才能快速的治愈肺隐球菌病?
肺隐球菌病有多少种?
肺隐球菌病时吃什么水果好?
肺隐球菌病需要注意些什么?
肺隐球菌病煲什么烫好吃
如何快速有效的治疗肺隐球菌病?
肺隐球菌病分哪几种类型?
如何防止肺隐球菌病?
什么偏方对肺隐球菌病 有用
得了肺隐球菌病有什么小秘方
什么药方对肺隐球菌病 有用
长期肺隐球菌病不好 怎么解决
肺隐球菌病吃药好还是自然痊愈好?
各种肺隐球菌病症状和常识用药
肺隐球菌病后要吃些什么?注意些什么?
۩ 肺隐球菌病
۞ 肺隐球菌病的概述
۞ 肺隐球菌病的名称
۞ 肺隐球菌病的概述
۞ 肺隐球菌病的病因
۞ 肺隐球菌病的临床体征
۞ 肺隐球菌病的诊断
۞ 肺隐球菌病的检查化验
۞ 肺隐球菌病的鉴别诊断
۞ 肺隐球菌病的并发症
۞ 肺隐球菌病的治疗
۞ 肺隐球菌病的预防
中医首页
疾病大全
药方功能
中医养生
中医药库
古今名医
中医医案
中医常识
中医问答
中医养生有道
中医白领养生
中医男人养生
中医女人养生
中医延年益寿
中医少儿益智
中医春季养生
中医夏季养生
中医秋季养生
中医冬季养生
中医美容
美容有方
明星美容秘方
中医祛斑
中医祛皱
中医祛痘
中医护发
中医美乳丰胸
中医美白
药膳食疗
食之有味
四季食疗
性福药膳
疾病食疗
美容药膳
减肥药膳
药粥
药酒
药茶
煲汤
中医减肥
中药减肥
针灸减肥
脐疗减肥
埋线减肥
小儿推拿
三伏天灸
动态前沿
误区提醒
针灸推拿
针刺艾灸
推拿按摩
刮痧
拔罐
耳穴奇谈
针灸美容
针灸减肥
疾病针灸
特色脐疗
望闻问切
四诊合参
小儿四诊
望神观色
五官五轮
听声闻味
百问其症
指上谈病
舌象图解
悬丝诊脉
© 2015-2016 vjvd.com All Rights Reserved.