新浪微博
关注微信
注册
登陆
阴阳平衡
中医健康之道
做福人世
♥肺真菌病
♥概述
♥病因
♥症状
♥检查
♥治疗
中医健道首页
>>肺真菌病概述
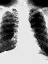
肺真菌病,是真菌(霉菌)所引起的肺病。从流行病学调查发现人体的真菌感染很多个别地区组织胞质菌、球孢子菌的感染率可高达50%以上,但大多数为亚临床型在短时间内未被发现即自愈。
【۩相关文章】
【☺用户提问】
肺真菌病是什么病?
什么叫做肺真菌病?
肺真菌病如何治疗?
肺真菌病怎么预防?
肺真菌病病因是什么?
肺真菌病吃什么药好?
肺真菌病吃什么好的快?
如何让肺真菌病好的快?
中医如何治疗肺真菌病?
西医如何治疗肺真菌病?
得了肺真菌病怎么办 需要怎么做?
吃什么食物对肺真菌病有好处?
肺真菌病的原因是什么?
人为什么会得肺真菌病?
肺真菌病要注意些什么?
肺真菌病要多久才能好?
肺真菌病严重,会导致什么?
怎么才能让肺真菌病快点好?
肺真菌病应该怎样做才能好得快?
肺真菌病不能吃那些东西?
肺真菌病了怎么样才能好受点?
如何才能快速的治愈肺真菌病?
肺真菌病有多少种?
肺真菌病时吃什么水果好?
肺真菌病需要注意些什么?
肺真菌病煲什么烫好吃
如何快速有效的治疗肺真菌病?
肺真菌病分哪几种类型?
如何防止肺真菌病?
什么偏方对肺真菌病 有用
得了肺真菌病有什么小秘方
什么药方对肺真菌病 有用
长期肺真菌病不好 怎么解决
肺真菌病吃药好还是自然痊愈好?
各种肺真菌病症状和常识用药
肺真菌病后要吃些什么?注意些什么?
۩ 肺真菌病
۞ 肺真菌病的概述
۞ 肺真菌病的概述
۞ 肺真菌病的病因
۞ 肺真菌病的症状
۞ 肺真菌病的检查
۞ 肺真菌病的治疗
中医首页
疾病大全
药方功能
中医养生
中医药库
古今名医
中医医案
中医常识
中医问答
中医养生有道
中医白领养生
中医男人养生
中医女人养生
中医延年益寿
中医少儿益智
中医春季养生
中医夏季养生
中医秋季养生
中医冬季养生
中医美容
美容有方
明星美容秘方
中医祛斑
中医祛皱
中医祛痘
中医护发
中医美乳丰胸
中医美白
药膳食疗
食之有味
四季食疗
性福药膳
疾病食疗
美容药膳
减肥药膳
药粥
药酒
药茶
煲汤
中医减肥
中药减肥
针灸减肥
脐疗减肥
埋线减肥
小儿推拿
三伏天灸
动态前沿
误区提醒
针灸推拿
针刺艾灸
推拿按摩
刮痧
拔罐
耳穴奇谈
针灸美容
针灸减肥
疾病针灸
特色脐疗
望闻问切
四诊合参
小儿四诊
望神观色
五官五轮
听声闻味
百问其症
指上谈病
舌象图解
悬丝诊脉
© 2015-2016 vjvd.com All Rights Reserved.