新浪微博
关注微信
注册
登陆
阴阳平衡
中医健康之道
做福人世
♥肺组织细胞增生症
♥概述
♥发病机制
♥临床症状
♥并发症
♥检查
♥诊断
♥治疗
♥预后
中医健道首页
>>肺组织细胞增生症概述
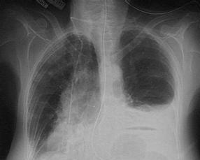
组织细胞增生症为一组少见的原因不明疾病,该病名由Lichtenstein于1953年提出。该病多发生于儿童,其发病、临床症状及病变范围差异很大,但病理上有着共同的病理特征,即组织细胞异常增生。现已证实此组织细胞具有朗格汉斯组织细胞(langerhans’ histocyte)特征,故本病现又称为朗格汉斯组织细胞增生症。
【۩相关文章】
【☺用户提问】
肺组织细胞增生症是什么病?
什么叫做肺组织细胞增生症?
肺组织细胞增生症如何治疗?
肺组织细胞增生症怎么预防?
肺组织细胞增生症病因是什么?
肺组织细胞增生症吃什么药好?
肺组织细胞增生症吃什么好的快?
如何让肺组织细胞增生症好的快?
中医如何治疗肺组织细胞增生症?
西医如何治疗肺组织细胞增生症?
得了肺组织细胞增生症怎么办 需要怎么做?
吃什么食物对肺组织细胞增生症有好处?
肺组织细胞增生症的原因是什么?
人为什么会得肺组织细胞增生症?
肺组织细胞增生症要注意些什么?
肺组织细胞增生症要多久才能好?
肺组织细胞增生症严重,会导致什么?
怎么才能让肺组织细胞增生症快点好?
肺组织细胞增生症应该怎样做才能好得快?
肺组织细胞增生症不能吃那些东西?
肺组织细胞增生症了怎么样才能好受点?
如何才能快速的治愈肺组织细胞增生症?
肺组织细胞增生症有多少种?
肺组织细胞增生症时吃什么水果好?
肺组织细胞增生症需要注意些什么?
肺组织细胞增生症煲什么烫好吃
如何快速有效的治疗肺组织细胞增生症?
肺组织细胞增生症分哪几种类型?
如何防止肺组织细胞增生症?
什么偏方对肺组织细胞增生症 有用
得了肺组织细胞增生症有什么小秘方
什么药方对肺组织细胞增生症 有用
长期肺组织细胞增生症不好 怎么解决
肺组织细胞增生症吃药好还是自然痊愈好?
各种肺组织细胞增生症症状和常识用药
肺组织细胞增生症后要吃些什么?注意些什么?
۩ 肺组织细胞增生症
۞ 肺组织细胞增生症的概述
۞ 肺组织细胞增生症的概述
۞ 肺组织细胞增生症的发病机制
۞ 肺组织细胞增生症的临床症状
۞ 肺组织细胞增生症的并发症
۞ 肺组织细胞增生症的检查
۞ 肺组织细胞增生症的诊断
۞ 肺组织细胞增生症的治疗
۞ 肺组织细胞增生症的预后
中医首页
疾病大全
药方功能
中医养生
中医药库
古今名医
中医医案
中医常识
中医问答
中医养生有道
中医白领养生
中医男人养生
中医女人养生
中医延年益寿
中医少儿益智
中医春季养生
中医夏季养生
中医秋季养生
中医冬季养生
中医美容
美容有方
明星美容秘方
中医祛斑
中医祛皱
中医祛痘
中医护发
中医美乳丰胸
中医美白
药膳食疗
食之有味
四季食疗
性福药膳
疾病食疗
美容药膳
减肥药膳
药粥
药酒
药茶
煲汤
中医减肥
中药减肥
针灸减肥
脐疗减肥
埋线减肥
小儿推拿
三伏天灸
动态前沿
误区提醒
针灸推拿
针刺艾灸
推拿按摩
刮痧
拔罐
耳穴奇谈
针灸美容
针灸减肥
疾病针灸
特色脐疗
望闻问切
四诊合参
小儿四诊
望神观色
五官五轮
听声闻味
百问其症
指上谈病
舌象图解
悬丝诊脉
© 2015-2016 vjvd.com All Rights Reserved.