新浪微博
关注微信
注册
登陆
阴阳平衡
中医健康之道
做福人世
♥高原肺水肿
♥症状体征
♥疾病病因
♥诊断检查
♥治疗方案
♥保健贴士
中医健道首页
>>高原肺水肿概述
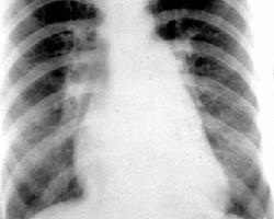
高原肺水肿是指近期抵达高原(一般指海拔3000米以上),出现静息时呼吸困难、胸闷压塞感、咳嗽、咳白色或粉红色泡沫痰,患者感全身乏力或活动能力减低。
【۩相关文章】
【☺用户提问】
高原肺水肿是什么病?
什么叫做高原肺水肿?
高原肺水肿如何治疗?
高原肺水肿怎么预防?
高原肺水肿病因是什么?
高原肺水肿吃什么药好?
高原肺水肿吃什么好的快?
如何让高原肺水肿好的快?
中医如何治疗高原肺水肿?
西医如何治疗高原肺水肿?
得了高原肺水肿怎么办 需要怎么做?
吃什么食物对高原肺水肿有好处?
高原肺水肿的原因是什么?
人为什么会得高原肺水肿?
高原肺水肿要注意些什么?
高原肺水肿要多久才能好?
高原肺水肿严重,会导致什么?
怎么才能让高原肺水肿快点好?
高原肺水肿应该怎样做才能好得快?
高原肺水肿不能吃那些东西?
高原肺水肿了怎么样才能好受点?
如何才能快速的治愈高原肺水肿?
高原肺水肿有多少种?
高原肺水肿时吃什么水果好?
高原肺水肿需要注意些什么?
高原肺水肿煲什么烫好吃
如何快速有效的治疗高原肺水肿?
高原肺水肿分哪几种类型?
如何防止高原肺水肿?
什么偏方对高原肺水肿 有用
得了高原肺水肿有什么小秘方
什么药方对高原肺水肿 有用
长期高原肺水肿不好 怎么解决
高原肺水肿吃药好还是自然痊愈好?
各种高原肺水肿症状和常识用药
高原肺水肿后要吃些什么?注意些什么?
۩ 高原肺水肿
۞ 高原肺水肿的概述
۞ 高原肺水肿的症状体征
۞ 高原肺水肿的疾病病因
۞ 高原肺水肿的诊断检查
۞ 高原肺水肿的治疗方案
۞ 高原肺水肿的保健贴士
中医首页
疾病大全
药方功能
中医养生
中医药库
古今名医
中医医案
中医常识
中医问答
中医养生有道
中医白领养生
中医男人养生
中医女人养生
中医延年益寿
中医少儿益智
中医春季养生
中医夏季养生
中医秋季养生
中医冬季养生
中医美容
美容有方
明星美容秘方
中医祛斑
中医祛皱
中医祛痘
中医护发
中医美乳丰胸
中医美白
药膳食疗
食之有味
四季食疗
性福药膳
疾病食疗
美容药膳
减肥药膳
药粥
药酒
药茶
煲汤
中医减肥
中药减肥
针灸减肥
脐疗减肥
埋线减肥
小儿推拿
三伏天灸
动态前沿
误区提醒
针灸推拿
针刺艾灸
推拿按摩
刮痧
拔罐
耳穴奇谈
针灸美容
针灸减肥
疾病针灸
特色脐疗
望闻问切
四诊合参
小儿四诊
望神观色
五官五轮
听声闻味
百问其症
指上谈病
舌象图解
悬丝诊脉
© 2015-2016 vjvd.com All Rights Reserved.