新浪微博
关注微信
注册
登陆
阴阳平衡
中医健康之道
做福人世
♥过敏性支气管肺曲霉病
♥概述
♥体征
♥生理
♥检查诊断
♥并发症
♥鉴别
♥治疗
♥流行病
中医健道首页
>>过敏性支气管肺曲霉病概述
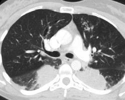
过敏性支气管肺曲霉病[1](allergicbronchopulmonaryaspergillosis,ABPA)是过敏性支气管真菌病中最常见和最具特征性的一种疾病,1952年在英国首先报道。其致病曲霉以烟曲霉最常见,赫曲霉、稻曲霉(A.oryzae)、土曲霉偶可见到。
【۩相关文章】
【☺用户提问】
过敏性支气管肺曲霉病是什么病?
什么叫做过敏性支气管肺曲霉病?
过敏性支气管肺曲霉病如何治疗?
过敏性支气管肺曲霉病怎么预防?
过敏性支气管肺曲霉病病因是什么?
过敏性支气管肺曲霉病吃什么药好?
过敏性支气管肺曲霉病吃什么好的快?
如何让过敏性支气管肺曲霉病好的快?
中医如何治疗过敏性支气管肺曲霉病?
西医如何治疗过敏性支气管肺曲霉病?
得了过敏性支气管肺曲霉病怎么办 需要怎么做?
吃什么食物对过敏性支气管肺曲霉病有好处?
过敏性支气管肺曲霉病的原因是什么?
人为什么会得过敏性支气管肺曲霉病?
过敏性支气管肺曲霉病要注意些什么?
过敏性支气管肺曲霉病要多久才能好?
过敏性支气管肺曲霉病严重,会导致什么?
怎么才能让过敏性支气管肺曲霉病快点好?
过敏性支气管肺曲霉病应该怎样做才能好得快?
过敏性支气管肺曲霉病不能吃那些东西?
过敏性支气管肺曲霉病了怎么样才能好受点?
如何才能快速的治愈过敏性支气管肺曲霉病?
过敏性支气管肺曲霉病有多少种?
过敏性支气管肺曲霉病时吃什么水果好?
过敏性支气管肺曲霉病需要注意些什么?
过敏性支气管肺曲霉病煲什么烫好吃
如何快速有效的治疗过敏性支气管肺曲霉病?
过敏性支气管肺曲霉病分哪几种类型?
如何防止过敏性支气管肺曲霉病?
什么偏方对过敏性支气管肺曲霉病 有用
得了过敏性支气管肺曲霉病有什么小秘方
什么药方对过敏性支气管肺曲霉病 有用
长期过敏性支气管肺曲霉病不好 怎么解决
过敏性支气管肺曲霉病吃药好还是自然痊愈好?
各种过敏性支气管肺曲霉病症状和常识用药
过敏性支气管肺曲霉病后要吃些什么?注意些什么?
۩ 过敏性支气管肺曲霉病
۞ 过敏性支气管肺曲霉病的概述
۞ 过敏性支气管肺曲霉病的概述
۞ 过敏性支气管肺曲霉病的体征
۞ 过敏性支气管肺曲霉病的生理
۞ 过敏性支气管肺曲霉病的检查诊断
۞ 过敏性支气管肺曲霉病的并发症
۞ 过敏性支气管肺曲霉病的鉴别
۞ 过敏性支气管肺曲霉病的治疗
۞ 过敏性支气管肺曲霉病的流行病
中医首页
疾病大全
药方功能
中医养生
中医药库
古今名医
中医医案
中医常识
中医问答
中医养生有道
中医白领养生
中医男人养生
中医女人养生
中医延年益寿
中医少儿益智
中医春季养生
中医夏季养生
中医秋季养生
中医冬季养生
中医美容
美容有方
明星美容秘方
中医祛斑
中医祛皱
中医祛痘
中医护发
中医美乳丰胸
中医美白
药膳食疗
食之有味
四季食疗
性福药膳
疾病食疗
美容药膳
减肥药膳
药粥
药酒
药茶
煲汤
中医减肥
中药减肥
针灸减肥
脐疗减肥
埋线减肥
小儿推拿
三伏天灸
动态前沿
误区提醒
针灸推拿
针刺艾灸
推拿按摩
刮痧
拔罐
耳穴奇谈
针灸美容
针灸减肥
疾病针灸
特色脐疗
望闻问切
四诊合参
小儿四诊
望神观色
五官五轮
听声闻味
百问其症
指上谈病
舌象图解
悬丝诊脉
© 2015-2016 vjvd.com All Rights Reserved.