新浪微博
关注微信
注册
登陆
阴阳平衡
中医健康之道
做福人世
♥黄杆菌肺炎
♥病因
♥并发症
♥表现及诊断
♥检查
♥治疗
♥预防
中医健道首页
>>黄杆菌肺炎概述
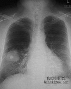
黄杆菌可引起肺炎,也可招致脑膜炎、败血症等感染,是一个新认识的菌种。[1]黄杆菌肺炎又称产黄菌肺炎,黄质菌肺炎。
【۩相关文章】
【☺用户提问】
黄杆菌肺炎是什么病?
什么叫做黄杆菌肺炎?
黄杆菌肺炎如何治疗?
黄杆菌肺炎怎么预防?
黄杆菌肺炎病因是什么?
黄杆菌肺炎吃什么药好?
黄杆菌肺炎吃什么好的快?
如何让黄杆菌肺炎好的快?
中医如何治疗黄杆菌肺炎?
西医如何治疗黄杆菌肺炎?
得了黄杆菌肺炎怎么办 需要怎么做?
吃什么食物对黄杆菌肺炎有好处?
黄杆菌肺炎的原因是什么?
人为什么会得黄杆菌肺炎?
黄杆菌肺炎要注意些什么?
黄杆菌肺炎要多久才能好?
黄杆菌肺炎严重,会导致什么?
怎么才能让黄杆菌肺炎快点好?
黄杆菌肺炎应该怎样做才能好得快?
黄杆菌肺炎不能吃那些东西?
黄杆菌肺炎了怎么样才能好受点?
如何才能快速的治愈黄杆菌肺炎?
黄杆菌肺炎有多少种?
黄杆菌肺炎时吃什么水果好?
黄杆菌肺炎需要注意些什么?
黄杆菌肺炎煲什么烫好吃
如何快速有效的治疗黄杆菌肺炎?
黄杆菌肺炎分哪几种类型?
如何防止黄杆菌肺炎?
什么偏方对黄杆菌肺炎 有用
得了黄杆菌肺炎有什么小秘方
什么药方对黄杆菌肺炎 有用
长期黄杆菌肺炎不好 怎么解决
黄杆菌肺炎吃药好还是自然痊愈好?
各种黄杆菌肺炎症状和常识用药
黄杆菌肺炎后要吃些什么?注意些什么?
۩ 黄杆菌肺炎
۞ 黄杆菌肺炎的概述
۞ 黄杆菌肺炎的病因
۞ 黄杆菌肺炎的并发症
۞ 黄杆菌肺炎的表现及诊断
۞ 黄杆菌肺炎的检查
۞ 黄杆菌肺炎的治疗
۞ 黄杆菌肺炎的预防
中医首页
疾病大全
药方功能
中医养生
中医药库
古今名医
中医医案
中医常识
中医问答
中医养生有道
中医白领养生
中医男人养生
中医女人养生
中医延年益寿
中医少儿益智
中医春季养生
中医夏季养生
中医秋季养生
中医冬季养生
中医美容
美容有方
明星美容秘方
中医祛斑
中医祛皱
中医祛痘
中医护发
中医美乳丰胸
中医美白
药膳食疗
食之有味
四季食疗
性福药膳
疾病食疗
美容药膳
减肥药膳
药粥
药酒
药茶
煲汤
中医减肥
中药减肥
针灸减肥
脐疗减肥
埋线减肥
小儿推拿
三伏天灸
动态前沿
误区提醒
针灸推拿
针刺艾灸
推拿按摩
刮痧
拔罐
耳穴奇谈
针灸美容
针灸减肥
疾病针灸
特色脐疗
望闻问切
四诊合参
小儿四诊
望神观色
五官五轮
听声闻味
百问其症
指上谈病
舌象图解
悬丝诊脉
© 2015-2016 vjvd.com All Rights Reserved.