新浪微博
关注微信
注册
登陆
阴阳平衡
中医健康之道
做福人世
♥结核性胸膜炎
♥概述
♥临床表现
♥检查
♥诊断
♥并发症
♥治疗方法
♥治疗误区
♥饮食
♥预防常识
♥护理
♥食疗
中医健道首页
>>结核性胸膜炎概述
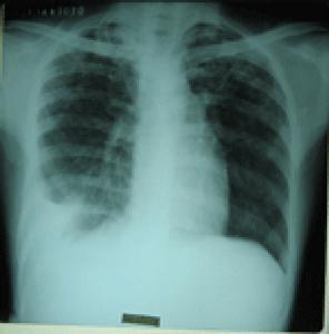
结核性胸膜炎是临床上常见的肺外结核病,是结核分枝杆菌及其代谢产物进入处于高敏状态的胸膜腔引起的胸膜炎症。结核性胸膜炎的发病与结核分枝杆菌感染及机体的免疫状态密切相关。结核性胸膜炎属于肺结核病五大类型的V型,其虽非肺部病变,但在临床上与肺结核有密切的关系。
【۩相关文章】
龙口市人民医院有治疗结核性胸膜炎的能力吗
急急 结核性胸膜炎
请问结核性胸膜炎胸腔积液B超检测8.6cm是什么意思?
请问结核性胸膜炎胸腔积液B超检测8.6cm是什么意思?
肺结核性胸膜炎 这病好治疗吗 肺里有积水,要注意什么吃什么东西好
【☺用户提问】
结核性胸膜炎是什么病?
什么叫做结核性胸膜炎?
结核性胸膜炎如何治疗?
结核性胸膜炎怎么预防?
结核性胸膜炎病因是什么?
结核性胸膜炎吃什么药好?
结核性胸膜炎吃什么好的快?
如何让结核性胸膜炎好的快?
中医如何治疗结核性胸膜炎?
西医如何治疗结核性胸膜炎?
得了结核性胸膜炎怎么办 需要怎么做?
吃什么食物对结核性胸膜炎有好处?
结核性胸膜炎的原因是什么?
人为什么会得结核性胸膜炎?
结核性胸膜炎要注意些什么?
结核性胸膜炎要多久才能好?
结核性胸膜炎严重,会导致什么?
怎么才能让结核性胸膜炎快点好?
结核性胸膜炎应该怎样做才能好得快?
结核性胸膜炎不能吃那些东西?
结核性胸膜炎了怎么样才能好受点?
如何才能快速的治愈结核性胸膜炎?
结核性胸膜炎有多少种?
结核性胸膜炎时吃什么水果好?
结核性胸膜炎需要注意些什么?
结核性胸膜炎煲什么烫好吃
如何快速有效的治疗结核性胸膜炎?
结核性胸膜炎分哪几种类型?
如何防止结核性胸膜炎?
什么偏方对结核性胸膜炎 有用
得了结核性胸膜炎有什么小秘方
什么药方对结核性胸膜炎 有用
长期结核性胸膜炎不好 怎么解决
结核性胸膜炎吃药好还是自然痊愈好?
各种结核性胸膜炎症状和常识用药
结核性胸膜炎后要吃些什么?注意些什么?
۩ 结核性胸膜炎
۞ 结核性胸膜炎的概述
۞ 结核性胸膜炎的概述
۞ 结核性胸膜炎的临床表现
۞ 结核性胸膜炎的检查
۞ 结核性胸膜炎的诊断
۞ 结核性胸膜炎的并发症
۞ 结核性胸膜炎的治疗方法
۞ 结核性胸膜炎的治疗误区
۞ 结核性胸膜炎的饮食
۞ 结核性胸膜炎的预防常识
۞ 结核性胸膜炎的护理
۞ 结核性胸膜炎的食疗
中医首页
疾病大全
药方功能
中医养生
中医药库
古今名医
中医医案
中医常识
中医问答
中医养生有道
中医白领养生
中医男人养生
中医女人养生
中医延年益寿
中医少儿益智
中医春季养生
中医夏季养生
中医秋季养生
中医冬季养生
中医美容
美容有方
明星美容秘方
中医祛斑
中医祛皱
中医祛痘
中医护发
中医美乳丰胸
中医美白
药膳食疗
食之有味
四季食疗
性福药膳
疾病食疗
美容药膳
减肥药膳
药粥
药酒
药茶
煲汤
中医减肥
中药减肥
针灸减肥
脐疗减肥
埋线减肥
小儿推拿
三伏天灸
动态前沿
误区提醒
针灸推拿
针刺艾灸
推拿按摩
刮痧
拔罐
耳穴奇谈
针灸美容
针灸减肥
疾病针灸
特色脐疗
望闻问切
四诊合参
小儿四诊
望神观色
五官五轮
听声闻味
百问其症
指上谈病
舌象图解
悬丝诊脉
© 2015-2016 vjvd.com All Rights Reserved.