新浪微博
关注微信
注册
登陆
阴阳平衡
中医健康之道
做福人世
♥卡氏肺囊虫病
♥疾病别名
♥疾病代码
♥疾病分类
♥疾病描述
♥症状体征
♥疾病病因
♥病理生理
♥诊断检查
♥鉴别诊断
♥治疗方案
♥并发症
♥预后及预防
♥流行病学
中医健道首页
>>卡氏肺囊虫病概述
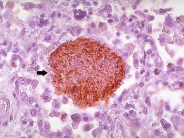
卡氏肺囊虫病(pneumocystosis)是卡氏肺囊虫(pneumocystis carinii)感染所引起的一种原虫病。临床主要表现为干咳呼吸困难和发绀等。其病原特征为间质性肺炎,故称卡氏肺囊虫病肺炎(pneumocystis carinii pneumonia,PCP)。本病多见于免疫功能低下或有缺陷者,可视为一种机会性感染。自80年代发现本病在艾滋病患者中高发病率和病死率以来,肺囊虫病特别是PCP研究逐渐深入。
【۩相关文章】
【☺用户提问】
卡氏肺囊虫病是什么病?
什么叫做卡氏肺囊虫病?
卡氏肺囊虫病如何治疗?
卡氏肺囊虫病怎么预防?
卡氏肺囊虫病病因是什么?
卡氏肺囊虫病吃什么药好?
卡氏肺囊虫病吃什么好的快?
如何让卡氏肺囊虫病好的快?
中医如何治疗卡氏肺囊虫病?
西医如何治疗卡氏肺囊虫病?
得了卡氏肺囊虫病怎么办 需要怎么做?
吃什么食物对卡氏肺囊虫病有好处?
卡氏肺囊虫病的原因是什么?
人为什么会得卡氏肺囊虫病?
卡氏肺囊虫病要注意些什么?
卡氏肺囊虫病要多久才能好?
卡氏肺囊虫病严重,会导致什么?
怎么才能让卡氏肺囊虫病快点好?
卡氏肺囊虫病应该怎样做才能好得快?
卡氏肺囊虫病不能吃那些东西?
卡氏肺囊虫病了怎么样才能好受点?
如何才能快速的治愈卡氏肺囊虫病?
卡氏肺囊虫病有多少种?
卡氏肺囊虫病时吃什么水果好?
卡氏肺囊虫病需要注意些什么?
卡氏肺囊虫病煲什么烫好吃
如何快速有效的治疗卡氏肺囊虫病?
卡氏肺囊虫病分哪几种类型?
如何防止卡氏肺囊虫病?
什么偏方对卡氏肺囊虫病 有用
得了卡氏肺囊虫病有什么小秘方
什么药方对卡氏肺囊虫病 有用
长期卡氏肺囊虫病不好 怎么解决
卡氏肺囊虫病吃药好还是自然痊愈好?
各种卡氏肺囊虫病症状和常识用药
卡氏肺囊虫病后要吃些什么?注意些什么?
۩ 卡氏肺囊虫病
۞ 卡氏肺囊虫病的概述
۞ 卡氏肺囊虫病的疾病别名
۞ 卡氏肺囊虫病的疾病代码
۞ 卡氏肺囊虫病的疾病分类
۞ 卡氏肺囊虫病的疾病描述
۞ 卡氏肺囊虫病的症状体征
۞ 卡氏肺囊虫病的疾病病因
۞ 卡氏肺囊虫病的病理生理
۞ 卡氏肺囊虫病的诊断检查
۞ 卡氏肺囊虫病的鉴别诊断
۞ 卡氏肺囊虫病的治疗方案
۞ 卡氏肺囊虫病的并发症
۞ 卡氏肺囊虫病的预后及预防
۞ 卡氏肺囊虫病的流行病学
中医首页
疾病大全
药方功能
中医养生
中医药库
古今名医
中医医案
中医常识
中医问答
中医养生有道
中医白领养生
中医男人养生
中医女人养生
中医延年益寿
中医少儿益智
中医春季养生
中医夏季养生
中医秋季养生
中医冬季养生
中医美容
美容有方
明星美容秘方
中医祛斑
中医祛皱
中医祛痘
中医护发
中医美乳丰胸
中医美白
药膳食疗
食之有味
四季食疗
性福药膳
疾病食疗
美容药膳
减肥药膳
药粥
药酒
药茶
煲汤
中医减肥
中药减肥
针灸减肥
脐疗减肥
埋线减肥
小儿推拿
三伏天灸
动态前沿
误区提醒
针灸推拿
针刺艾灸
推拿按摩
刮痧
拔罐
耳穴奇谈
针灸美容
针灸减肥
疾病针灸
特色脐疗
望闻问切
四诊合参
小儿四诊
望神观色
五官五轮
听声闻味
百问其症
指上谈病
舌象图解
悬丝诊脉
© 2015-2016 vjvd.com All Rights Reserved.