新浪微博
关注微信
注册
登陆
阴阳平衡
中医健康之道
做福人世
♥老年人肺癌
♥病因
♥临床表现
♥检查
♥诊断
♥鉴别诊断
♥治疗
♥并发症
♥预后
中医健道首页
>>老年人肺癌概述
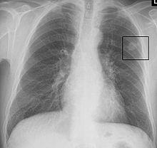
老年人肺癌为原发于支气管-肺的癌,即原发性支气管肺癌,简称肺癌。肺癌是世界上对人类健康与生命危害最大的恶性肿瘤。该病是随着原发灶的发展过程及肿瘤所在部位、肿瘤大小、对支气管的影响、邻近气管是否受侵犯或压迫、远隔脏器是否有转移、是否有异位内分泌特性等因素的不同,而出现各种不同的临床表现。
【۩相关文章】
【☺用户提问】
老年人肺癌是什么病?
什么叫做老年人肺癌?
老年人肺癌如何治疗?
老年人肺癌怎么预防?
老年人肺癌病因是什么?
老年人肺癌吃什么药好?
老年人肺癌吃什么好的快?
如何让老年人肺癌好的快?
中医如何治疗老年人肺癌?
西医如何治疗老年人肺癌?
得了老年人肺癌怎么办 需要怎么做?
吃什么食物对老年人肺癌有好处?
老年人肺癌的原因是什么?
人为什么会得老年人肺癌?
老年人肺癌要注意些什么?
老年人肺癌要多久才能好?
老年人肺癌严重,会导致什么?
怎么才能让老年人肺癌快点好?
老年人肺癌应该怎样做才能好得快?
老年人肺癌不能吃那些东西?
老年人肺癌了怎么样才能好受点?
如何才能快速的治愈老年人肺癌?
老年人肺癌有多少种?
老年人肺癌时吃什么水果好?
老年人肺癌需要注意些什么?
老年人肺癌煲什么烫好吃
如何快速有效的治疗老年人肺癌?
老年人肺癌分哪几种类型?
如何防止老年人肺癌?
什么偏方对老年人肺癌 有用
得了老年人肺癌有什么小秘方
什么药方对老年人肺癌 有用
长期老年人肺癌不好 怎么解决
老年人肺癌吃药好还是自然痊愈好?
各种老年人肺癌症状和常识用药
老年人肺癌后要吃些什么?注意些什么?
۩ 老年人肺癌
۞ 老年人肺癌的概述
۞ 老年人肺癌的病因
۞ 老年人肺癌的临床表现
۞ 老年人肺癌的检查
۞ 老年人肺癌的诊断
۞ 老年人肺癌的鉴别诊断
۞ 老年人肺癌的治疗
۞ 老年人肺癌的并发症
۞ 老年人肺癌的预后
中医首页
疾病大全
药方功能
中医养生
中医药库
古今名医
中医医案
中医常识
中医问答
中医养生有道
中医白领养生
中医男人养生
中医女人养生
中医延年益寿
中医少儿益智
中医春季养生
中医夏季养生
中医秋季养生
中医冬季养生
中医美容
美容有方
明星美容秘方
中医祛斑
中医祛皱
中医祛痘
中医护发
中医美乳丰胸
中医美白
药膳食疗
食之有味
四季食疗
性福药膳
疾病食疗
美容药膳
减肥药膳
药粥
药酒
药茶
煲汤
中医减肥
中药减肥
针灸减肥
脐疗减肥
埋线减肥
小儿推拿
三伏天灸
动态前沿
误区提醒
针灸推拿
针刺艾灸
推拿按摩
刮痧
拔罐
耳穴奇谈
针灸美容
针灸减肥
疾病针灸
特色脐疗
望闻问切
四诊合参
小儿四诊
望神观色
五官五轮
听声闻味
百问其症
指上谈病
舌象图解
悬丝诊脉
© 2015-2016 vjvd.com All Rights Reserved.