新浪微博
关注微信
注册
登陆
阴阳平衡
中医健康之道
做福人世
♥老年人肺炎
♥病因
♥症状
♥检查
♥鉴别诊断
♥治疗
♥预防
中医健道首页
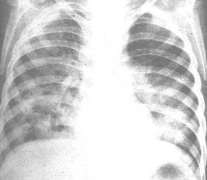
>>老年人肺炎概述
与年轻人比较,老年肺炎的发病率和死亡率均显著增加的原因是多方面的,客观上,因机体老化,呼吸系统解剖和功能的改变导致全身和呼吸道局部的防御和免疫功能降低,心肺肝肾等重要脏器的功能储备减弱或罹患多种慢性严重疾病、营养不良等;主观原因则是医生或患者自己对老年肺炎的不典型临床表现认识不足,诊断延误和治疗措施不当。[1]
【۩相关文章】
【☺用户提问】
老年人肺炎是什么病?
什么叫做老年人肺炎?
老年人肺炎如何治疗?
老年人肺炎怎么预防?
老年人肺炎病因是什么?
老年人肺炎吃什么药好?
老年人肺炎吃什么好的快?
如何让老年人肺炎好的快?
中医如何治疗老年人肺炎?
西医如何治疗老年人肺炎?
得了老年人肺炎怎么办 需要怎么做?
吃什么食物对老年人肺炎有好处?
老年人肺炎的原因是什么?
人为什么会得老年人肺炎?
老年人肺炎要注意些什么?
老年人肺炎要多久才能好?
老年人肺炎严重,会导致什么?
怎么才能让老年人肺炎快点好?
老年人肺炎应该怎样做才能好得快?
老年人肺炎不能吃那些东西?
老年人肺炎了怎么样才能好受点?
如何才能快速的治愈老年人肺炎?
老年人肺炎有多少种?
老年人肺炎时吃什么水果好?
老年人肺炎需要注意些什么?
老年人肺炎煲什么烫好吃
如何快速有效的治疗老年人肺炎?
老年人肺炎分哪几种类型?
如何防止老年人肺炎?
什么偏方对老年人肺炎 有用
得了老年人肺炎有什么小秘方
什么药方对老年人肺炎 有用
长期老年人肺炎不好 怎么解决
老年人肺炎吃药好还是自然痊愈好?
各种老年人肺炎症状和常识用药
老年人肺炎后要吃些什么?注意些什么?
۩ 老年人肺炎
۞ 老年人肺炎的概述
۞ 老年人肺炎的病因
۞ 老年人肺炎的症状
۞ 老年人肺炎的检查
۞ 老年人肺炎的鉴别诊断
۞ 老年人肺炎的治疗
۞ 老年人肺炎的预防
中医首页
疾病大全
药方功能
中医养生
中医药库
古今名医
中医医案
中医常识
中医问答
中医养生有道
中医白领养生
中医男人养生
中医女人养生
中医延年益寿
中医少儿益智
中医春季养生
中医夏季养生
中医秋季养生
中医冬季养生
中医美容
美容有方
明星美容秘方
中医祛斑
中医祛皱
中医祛痘
中医护发
中医美乳丰胸
中医美白
药膳食疗
食之有味
四季食疗
性福药膳
疾病食疗
美容药膳
减肥药膳
药粥
药酒
药茶
煲汤
中医减肥
中药减肥
针灸减肥
脐疗减肥
埋线减肥
小儿推拿
三伏天灸
动态前沿
误区提醒
针灸推拿
针刺艾灸
推拿按摩
刮痧
拔罐
耳穴奇谈
针灸美容
针灸减肥
疾病针灸
特色脐疗
望闻问切
四诊合参
小儿四诊
望神观色
五官五轮
听声闻味
百问其症
指上谈病
舌象图解
悬丝诊脉
© 2015-2016 vjvd.com All Rights Reserved.