新浪微博
关注微信
注册
登陆
阴阳平衡
中医健康之道
做福人世
♥老年人胸腔积液与胸膜炎
♥病因
♥症状
♥检查
♥诊断鉴别
♥并发症
♥预防
♥治疗
中医健道首页
>>老年人胸腔积液与胸膜炎概述
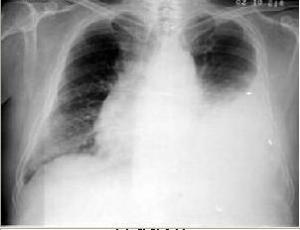
胸腔积液(pleural effusison)是指胸膜腔液体产生与吸收的平衡失调,产生量超过吸收量使胸腔内液体超过正常。老年胸腔积液与中青年有一个很大的不同,前者以癌性胸水为多见,并有逐年增高的趋势,而后者则绝大多数为结核性的。 胸膜炎是致病因素(通常为病毒或细菌)刺激胸膜所致的胸膜炎症。胸腔内可有液体积聚(渗出性胸膜炎)或无液体积聚(干性胸膜炎)。炎症消退后,胸膜可恢复至正常,或发生两层胸膜相互粘连。由多种病因引起,如感染、恶性肿瘤、结缔组织病、肺栓塞等。
【۩相关文章】
【☺用户提问】
老年人胸腔积液与胸膜炎是什么病?
什么叫做老年人胸腔积液与胸膜炎?
老年人胸腔积液与胸膜炎如何治疗?
老年人胸腔积液与胸膜炎怎么预防?
老年人胸腔积液与胸膜炎病因是什么?
老年人胸腔积液与胸膜炎吃什么药好?
老年人胸腔积液与胸膜炎吃什么好的快?
如何让老年人胸腔积液与胸膜炎好的快?
中医如何治疗老年人胸腔积液与胸膜炎?
西医如何治疗老年人胸腔积液与胸膜炎?
得了老年人胸腔积液与胸膜炎怎么办 需要怎么做?
吃什么食物对老年人胸腔积液与胸膜炎有好处?
老年人胸腔积液与胸膜炎的原因是什么?
人为什么会得老年人胸腔积液与胸膜炎?
老年人胸腔积液与胸膜炎要注意些什么?
老年人胸腔积液与胸膜炎要多久才能好?
老年人胸腔积液与胸膜炎严重,会导致什么?
怎么才能让老年人胸腔积液与胸膜炎快点好?
老年人胸腔积液与胸膜炎应该怎样做才能好得快?
老年人胸腔积液与胸膜炎不能吃那些东西?
老年人胸腔积液与胸膜炎了怎么样才能好受点?
如何才能快速的治愈老年人胸腔积液与胸膜炎?
老年人胸腔积液与胸膜炎有多少种?
老年人胸腔积液与胸膜炎时吃什么水果好?
老年人胸腔积液与胸膜炎需要注意些什么?
老年人胸腔积液与胸膜炎煲什么烫好吃
如何快速有效的治疗老年人胸腔积液与胸膜炎?
老年人胸腔积液与胸膜炎分哪几种类型?
如何防止老年人胸腔积液与胸膜炎?
什么偏方对老年人胸腔积液与胸膜炎 有用
得了老年人胸腔积液与胸膜炎有什么小秘方
什么药方对老年人胸腔积液与胸膜炎 有用
长期老年人胸腔积液与胸膜炎不好 怎么解决
老年人胸腔积液与胸膜炎吃药好还是自然痊愈好?
各种老年人胸腔积液与胸膜炎症状和常识用药
老年人胸腔积液与胸膜炎后要吃些什么?注意些什么?
۩ 老年人胸腔积液与胸膜炎
۞ 老年人胸腔积液与胸膜炎的概述
۞ 老年人胸腔积液与胸膜炎的病因
۞ 老年人胸腔积液与胸膜炎的症状
۞ 老年人胸腔积液与胸膜炎的检查
۞ 老年人胸腔积液与胸膜炎的诊断鉴别
۞ 老年人胸腔积液与胸膜炎的并发症
۞ 老年人胸腔积液与胸膜炎的预防
۞ 老年人胸腔积液与胸膜炎的治疗
中医首页
疾病大全
药方功能
中医养生
中医药库
古今名医
中医医案
中医常识
中医问答
中医养生有道
中医白领养生
中医男人养生
中医女人养生
中医延年益寿
中医少儿益智
中医春季养生
中医夏季养生
中医秋季养生
中医冬季养生
中医美容
美容有方
明星美容秘方
中医祛斑
中医祛皱
中医祛痘
中医护发
中医美乳丰胸
中医美白
药膳食疗
食之有味
四季食疗
性福药膳
疾病食疗
美容药膳
减肥药膳
药粥
药酒
药茶
煲汤
中医减肥
中药减肥
针灸减肥
脐疗减肥
埋线减肥
小儿推拿
三伏天灸
动态前沿
误区提醒
针灸推拿
针刺艾灸
推拿按摩
刮痧
拔罐
耳穴奇谈
针灸美容
针灸减肥
疾病针灸
特色脐疗
望闻问切
四诊合参
小儿四诊
望神观色
五官五轮
听声闻味
百问其症
指上谈病
舌象图解
悬丝诊脉
© 2015-2016 vjvd.com All Rights Reserved.