新浪微博
关注微信
注册
登陆
阴阳平衡
中医健康之道
做福人世
♥气胸汽油中毒
♥概述
♥病因和发病机制
♥临床类型
♥临床表现
♥诊断和鉴别诊断
♥检查
♥治疗
♥手术治疗
♥自发性气胸的注意事项
中医健道首页
>>气胸汽油中毒概述
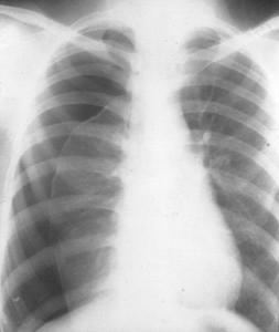
气胸是指无外伤或人为因素情况下,脏层胸膜破裂,气体进入胸膜腔导致胸腔积气而引起的病理生理状况。肺无明显病变由胸膜下气肿泡破裂形成者称特发性气胸;继发于慢阻肺肺结核等胸膜及肺疾病者称继发性气胸。按病理生理变化又分为闭合性(单纯性) 、开放性(交通性)和张力性(高压性)三类。[1]
【۩相关文章】
【☺用户提问】
气胸汽油中毒是什么病?
什么叫做气胸汽油中毒?
气胸汽油中毒如何治疗?
气胸汽油中毒怎么预防?
气胸汽油中毒病因是什么?
气胸汽油中毒吃什么药好?
气胸汽油中毒吃什么好的快?
如何让气胸汽油中毒好的快?
中医如何治疗气胸汽油中毒?
西医如何治疗气胸汽油中毒?
得了气胸汽油中毒怎么办 需要怎么做?
吃什么食物对气胸汽油中毒有好处?
气胸汽油中毒的原因是什么?
人为什么会得气胸汽油中毒?
气胸汽油中毒要注意些什么?
气胸汽油中毒要多久才能好?
气胸汽油中毒严重,会导致什么?
怎么才能让气胸汽油中毒快点好?
气胸汽油中毒应该怎样做才能好得快?
气胸汽油中毒不能吃那些东西?
气胸汽油中毒了怎么样才能好受点?
如何才能快速的治愈气胸汽油中毒?
气胸汽油中毒有多少种?
气胸汽油中毒时吃什么水果好?
气胸汽油中毒需要注意些什么?
气胸汽油中毒煲什么烫好吃
如何快速有效的治疗气胸汽油中毒?
气胸汽油中毒分哪几种类型?
如何防止气胸汽油中毒?
什么偏方对气胸汽油中毒 有用
得了气胸汽油中毒有什么小秘方
什么药方对气胸汽油中毒 有用
长期气胸汽油中毒不好 怎么解决
气胸汽油中毒吃药好还是自然痊愈好?
各种气胸汽油中毒症状和常识用药
气胸汽油中毒后要吃些什么?注意些什么?
۩ 气胸汽油中毒
۞ 气胸汽油中毒的概述
۞ 气胸汽油中毒的概述
۞ 气胸汽油中毒的病因和发病机制
۞ 气胸汽油中毒的临床类型
۞ 气胸汽油中毒的临床表现
۞ 气胸汽油中毒的诊断和鉴别诊断
۞ 气胸汽油中毒的检查
۞ 气胸汽油中毒的治疗
۞ 气胸汽油中毒的手术治疗
۞ 气胸汽油中毒的自发性气胸的注意事项
中医首页
疾病大全
药方功能
中医养生
中医药库
古今名医
中医医案
中医常识
中医问答
中医养生有道
中医白领养生
中医男人养生
中医女人养生
中医延年益寿
中医少儿益智
中医春季养生
中医夏季养生
中医秋季养生
中医冬季养生
中医美容
美容有方
明星美容秘方
中医祛斑
中医祛皱
中医祛痘
中医护发
中医美乳丰胸
中医美白
药膳食疗
食之有味
四季食疗
性福药膳
疾病食疗
美容药膳
减肥药膳
药粥
药酒
药茶
煲汤
中医减肥
中药减肥
针灸减肥
脐疗减肥
埋线减肥
小儿推拿
三伏天灸
动态前沿
误区提醒
针灸推拿
针刺艾灸
推拿按摩
刮痧
拔罐
耳穴奇谈
针灸美容
针灸减肥
疾病针灸
特色脐疗
望闻问切
四诊合参
小儿四诊
望神观色
五官五轮
听声闻味
百问其症
指上谈病
舌象图解
悬丝诊脉
© 2015-2016 vjvd.com All Rights Reserved.