新浪微博
关注微信
注册
登陆
阴阳平衡
中医健康之道
做福人世
♥特发性含铁血黄素沉着症
♥病因
♥临床表现
♥病例简介
♥护理要点
♥治疗
♥应该做哪些检查
♥并发症
中医健道首页
>>特发性含铁血黄素沉着症概述
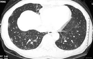
特发性含铁血黄素沉着症(idiopathic pulmomaryhae mosiderosis,IPH)乃一种病因未明,肺内间歇出血的少见疾病。国际上报告200多例,中国报告120余例(到1994年)。肺泡内红细胞破坏后,珠蛋白被吸收,含铁血黄素沉着于肺组织引起反应。由于反复出血可继发缺铁性贫血 。根据反复的咯血,痰中带血,肺内边缘不清的斑点状阴影,及继发的缺铁性贫血可作出初步诊断,通过对痰液,支气管肺泡灌洗液及肺活检中找到吞噬细胞中含蓝色的含铁血黄素并排除心源性淤血性因素后可确诊。[1]
【۩相关文章】
【☺用户提问】
特发性含铁血黄素沉着症是什么病?
什么叫做特发性含铁血黄素沉着症?
特发性含铁血黄素沉着症如何治疗?
特发性含铁血黄素沉着症怎么预防?
特发性含铁血黄素沉着症病因是什么?
特发性含铁血黄素沉着症吃什么药好?
特发性含铁血黄素沉着症吃什么好的快?
如何让特发性含铁血黄素沉着症好的快?
中医如何治疗特发性含铁血黄素沉着症?
西医如何治疗特发性含铁血黄素沉着症?
得了特发性含铁血黄素沉着症怎么办 需要怎么做?
吃什么食物对特发性含铁血黄素沉着症有好处?
特发性含铁血黄素沉着症的原因是什么?
人为什么会得特发性含铁血黄素沉着症?
特发性含铁血黄素沉着症要注意些什么?
特发性含铁血黄素沉着症要多久才能好?
特发性含铁血黄素沉着症严重,会导致什么?
怎么才能让特发性含铁血黄素沉着症快点好?
特发性含铁血黄素沉着症应该怎样做才能好得快?
特发性含铁血黄素沉着症不能吃那些东西?
特发性含铁血黄素沉着症了怎么样才能好受点?
如何才能快速的治愈特发性含铁血黄素沉着症?
特发性含铁血黄素沉着症有多少种?
特发性含铁血黄素沉着症时吃什么水果好?
特发性含铁血黄素沉着症需要注意些什么?
特发性含铁血黄素沉着症煲什么烫好吃
如何快速有效的治疗特发性含铁血黄素沉着症?
特发性含铁血黄素沉着症分哪几种类型?
如何防止特发性含铁血黄素沉着症?
什么偏方对特发性含铁血黄素沉着症 有用
得了特发性含铁血黄素沉着症有什么小秘方
什么药方对特发性含铁血黄素沉着症 有用
长期特发性含铁血黄素沉着症不好 怎么解决
特发性含铁血黄素沉着症吃药好还是自然痊愈好?
各种特发性含铁血黄素沉着症症状和常识用药
特发性含铁血黄素沉着症后要吃些什么?注意些什么?
۩ 特发性含铁血黄素沉着症
۞ 特发性含铁血黄素沉着症的概述
۞ 特发性含铁血黄素沉着症的病因
۞ 特发性含铁血黄素沉着症的临床表现
۞ 特发性含铁血黄素沉着症的病例简介
۞ 特发性含铁血黄素沉着症的护理要点
۞ 特发性含铁血黄素沉着症的治疗
۞ 特发性含铁血黄素沉着症的应该做哪些检查
۞ 特发性含铁血黄素沉着症的并发症
中医首页
疾病大全
药方功能
中医养生
中医药库
古今名医
中医医案
中医常识
中医问答
中医养生有道
中医白领养生
中医男人养生
中医女人养生
中医延年益寿
中医少儿益智
中医春季养生
中医夏季养生
中医秋季养生
中医冬季养生
中医美容
美容有方
明星美容秘方
中医祛斑
中医祛皱
中医祛痘
中医护发
中医美乳丰胸
中医美白
药膳食疗
食之有味
四季食疗
性福药膳
疾病食疗
美容药膳
减肥药膳
药粥
药酒
药茶
煲汤
中医减肥
中药减肥
针灸减肥
脐疗减肥
埋线减肥
小儿推拿
三伏天灸
动态前沿
误区提醒
针灸推拿
针刺艾灸
推拿按摩
刮痧
拔罐
耳穴奇谈
针灸美容
针灸减肥
疾病针灸
特色脐疗
望闻问切
四诊合参
小儿四诊
望神观色
五官五轮
听声闻味
百问其症
指上谈病
舌象图解
悬丝诊脉
© 2015-2016 vjvd.com All Rights Reserved.