新浪微博
关注微信
注册
登陆
阴阳平衡
中医健康之道
做福人世
♥先天性肺发育不全
♥概述
♥病因
♥实验室检查
♥辅助检查
♥临床表现
♥并发症
♥诊断
♥鉴别诊断
♥预防
中医健道首页
>>先天性肺发育不全概述
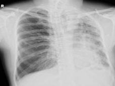
肺先天性发育不全可根据其发生程度分为3 类:肺未发生(agenesis):一侧或双侧肺缺如;肺未发育(aplasia):支气管原基呈一终端盲囊,未见肺血管及肺实质;肺发育不全(hypoplasia):可见支气管、血管和肺泡组织,但数量和(或)容积减少。严重病例出生后即死亡。主要表现为呼吸困难,甚至呼吸窘迫,以及长期反复呼吸道感染,体检可见患侧胸廓塌陷,活动度减弱,叩诊呈浊音,听诊呼吸音减低或消失。
【۩相关文章】
【☺用户提问】
先天性肺发育不全是什么病?
什么叫做先天性肺发育不全?
先天性肺发育不全如何治疗?
先天性肺发育不全怎么预防?
先天性肺发育不全病因是什么?
先天性肺发育不全吃什么药好?
先天性肺发育不全吃什么好的快?
如何让先天性肺发育不全好的快?
中医如何治疗先天性肺发育不全?
西医如何治疗先天性肺发育不全?
得了先天性肺发育不全怎么办 需要怎么做?
吃什么食物对先天性肺发育不全有好处?
先天性肺发育不全的原因是什么?
人为什么会得先天性肺发育不全?
先天性肺发育不全要注意些什么?
先天性肺发育不全要多久才能好?
先天性肺发育不全严重,会导致什么?
怎么才能让先天性肺发育不全快点好?
先天性肺发育不全应该怎样做才能好得快?
先天性肺发育不全不能吃那些东西?
先天性肺发育不全了怎么样才能好受点?
如何才能快速的治愈先天性肺发育不全?
先天性肺发育不全有多少种?
先天性肺发育不全时吃什么水果好?
先天性肺发育不全需要注意些什么?
先天性肺发育不全煲什么烫好吃
如何快速有效的治疗先天性肺发育不全?
先天性肺发育不全分哪几种类型?
如何防止先天性肺发育不全?
什么偏方对先天性肺发育不全 有用
得了先天性肺发育不全有什么小秘方
什么药方对先天性肺发育不全 有用
长期先天性肺发育不全不好 怎么解决
先天性肺发育不全吃药好还是自然痊愈好?
各种先天性肺发育不全症状和常识用药
先天性肺发育不全后要吃些什么?注意些什么?
۩ 先天性肺发育不全
۞ 先天性肺发育不全的概述
۞ 先天性肺发育不全的概述
۞ 先天性肺发育不全的病因
۞ 先天性肺发育不全的实验室检查
۞ 先天性肺发育不全的辅助检查
۞ 先天性肺发育不全的临床表现
۞ 先天性肺发育不全的并发症
۞ 先天性肺发育不全的诊断
۞ 先天性肺发育不全的鉴别诊断
۞ 先天性肺发育不全的预防
中医首页
疾病大全
药方功能
中医养生
中医药库
古今名医
中医医案
中医常识
中医问答
中医养生有道
中医白领养生
中医男人养生
中医女人养生
中医延年益寿
中医少儿益智
中医春季养生
中医夏季养生
中医秋季养生
中医冬季养生
中医美容
美容有方
明星美容秘方
中医祛斑
中医祛皱
中医祛痘
中医护发
中医美乳丰胸
中医美白
药膳食疗
食之有味
四季食疗
性福药膳
疾病食疗
美容药膳
减肥药膳
药粥
药酒
药茶
煲汤
中医减肥
中药减肥
针灸减肥
脐疗减肥
埋线减肥
小儿推拿
三伏天灸
动态前沿
误区提醒
针灸推拿
针刺艾灸
推拿按摩
刮痧
拔罐
耳穴奇谈
针灸美容
针灸减肥
疾病针灸
特色脐疗
望闻问切
四诊合参
小儿四诊
望神观色
五官五轮
听声闻味
百问其症
指上谈病
舌象图解
悬丝诊脉
© 2015-2016 vjvd.com All Rights Reserved.