新浪微博
关注微信
注册
登陆
阴阳平衡
中医健康之道
做福人世
♥腺病毒肺炎
♥名称
♥概述
♥病因
♥症状
♥诊断
♥检查
♥治疗
♥鉴别诊断
♥预防
♥预后
中医健道首页
>>腺病毒肺炎概述
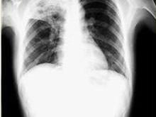
1958年以来我国各地相继证实,腺病毒除引起上呼吸道感染外,还可引致小儿肺炎,多见于6个月至2岁的婴幼儿腺病毒肺炎最为危重,尤以北方各省多见,病情严重者也较南方为多。华北、东北及西北于1958年冬及1963年冬有较大规模的腺病毒肺炎流行,病情极其严重。
【۩相关文章】
【☺用户提问】
腺病毒肺炎是什么病?
什么叫做腺病毒肺炎?
腺病毒肺炎如何治疗?
腺病毒肺炎怎么预防?
腺病毒肺炎病因是什么?
腺病毒肺炎吃什么药好?
腺病毒肺炎吃什么好的快?
如何让腺病毒肺炎好的快?
中医如何治疗腺病毒肺炎?
西医如何治疗腺病毒肺炎?
得了腺病毒肺炎怎么办 需要怎么做?
吃什么食物对腺病毒肺炎有好处?
腺病毒肺炎的原因是什么?
人为什么会得腺病毒肺炎?
腺病毒肺炎要注意些什么?
腺病毒肺炎要多久才能好?
腺病毒肺炎严重,会导致什么?
怎么才能让腺病毒肺炎快点好?
腺病毒肺炎应该怎样做才能好得快?
腺病毒肺炎不能吃那些东西?
腺病毒肺炎了怎么样才能好受点?
如何才能快速的治愈腺病毒肺炎?
腺病毒肺炎有多少种?
腺病毒肺炎时吃什么水果好?
腺病毒肺炎需要注意些什么?
腺病毒肺炎煲什么烫好吃
如何快速有效的治疗腺病毒肺炎?
腺病毒肺炎分哪几种类型?
如何防止腺病毒肺炎?
什么偏方对腺病毒肺炎 有用
得了腺病毒肺炎有什么小秘方
什么药方对腺病毒肺炎 有用
长期腺病毒肺炎不好 怎么解决
腺病毒肺炎吃药好还是自然痊愈好?
各种腺病毒肺炎症状和常识用药
腺病毒肺炎后要吃些什么?注意些什么?
۩ 腺病毒肺炎
۞ 腺病毒肺炎的概述
۞ 腺病毒肺炎的名称
۞ 腺病毒肺炎的概述
۞ 腺病毒肺炎的病因
۞ 腺病毒肺炎的症状
۞ 腺病毒肺炎的诊断
۞ 腺病毒肺炎的检查
۞ 腺病毒肺炎的治疗
۞ 腺病毒肺炎的鉴别诊断
۞ 腺病毒肺炎的预防
۞ 腺病毒肺炎的预后
中医首页
疾病大全
药方功能
中医养生
中医药库
古今名医
中医医案
中医常识
中医问答
中医养生有道
中医白领养生
中医男人养生
中医女人养生
中医延年益寿
中医少儿益智
中医春季养生
中医夏季养生
中医秋季养生
中医冬季养生
中医美容
美容有方
明星美容秘方
中医祛斑
中医祛皱
中医祛痘
中医护发
中医美乳丰胸
中医美白
药膳食疗
食之有味
四季食疗
性福药膳
疾病食疗
美容药膳
减肥药膳
药粥
药酒
药茶
煲汤
中医减肥
中药减肥
针灸减肥
脐疗减肥
埋线减肥
小儿推拿
三伏天灸
动态前沿
误区提醒
针灸推拿
针刺艾灸
推拿按摩
刮痧
拔罐
耳穴奇谈
针灸美容
针灸减肥
疾病针灸
特色脐疗
望闻问切
四诊合参
小儿四诊
望神观色
五官五轮
听声闻味
百问其症
指上谈病
舌象图解
悬丝诊脉
© 2015-2016 vjvd.com All Rights Reserved.