新浪微博
关注微信
注册
登陆
阴阳平衡
中医健康之道
做福人世
♥小儿肺水肿
♥概述
♥病因
♥临床表现
♥检查
♥诊断
♥治疗
中医健道首页
>>小儿肺水肿概述
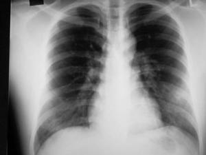
肺水肿(pulmonary edema)是一种肺血管外液体增多的病理状态,浆液从肺循环中漏出或渗出,当超过淋巴引流能力时,多余的液体即进入肺间质或肺泡腔内,形成肺水肿。本病可并发于多种疾病,病情常危重,应积极抢救。[1]
【۩相关文章】
【☺用户提问】
小儿肺水肿是什么病?
什么叫做小儿肺水肿?
小儿肺水肿如何治疗?
小儿肺水肿怎么预防?
小儿肺水肿病因是什么?
小儿肺水肿吃什么药好?
小儿肺水肿吃什么好的快?
如何让小儿肺水肿好的快?
中医如何治疗小儿肺水肿?
西医如何治疗小儿肺水肿?
得了小儿肺水肿怎么办 需要怎么做?
吃什么食物对小儿肺水肿有好处?
小儿肺水肿的原因是什么?
人为什么会得小儿肺水肿?
小儿肺水肿要注意些什么?
小儿肺水肿要多久才能好?
小儿肺水肿严重,会导致什么?
怎么才能让小儿肺水肿快点好?
小儿肺水肿应该怎样做才能好得快?
小儿肺水肿不能吃那些东西?
小儿肺水肿了怎么样才能好受点?
如何才能快速的治愈小儿肺水肿?
小儿肺水肿有多少种?
小儿肺水肿时吃什么水果好?
小儿肺水肿需要注意些什么?
小儿肺水肿煲什么烫好吃
如何快速有效的治疗小儿肺水肿?
小儿肺水肿分哪几种类型?
如何防止小儿肺水肿?
什么偏方对小儿肺水肿 有用
得了小儿肺水肿有什么小秘方
什么药方对小儿肺水肿 有用
长期小儿肺水肿不好 怎么解决
小儿肺水肿吃药好还是自然痊愈好?
各种小儿肺水肿症状和常识用药
小儿肺水肿后要吃些什么?注意些什么?
۩ 小儿肺水肿
۞ 小儿肺水肿的概述
۞ 小儿肺水肿的概述
۞ 小儿肺水肿的病因
۞ 小儿肺水肿的临床表现
۞ 小儿肺水肿的检查
۞ 小儿肺水肿的诊断
۞ 小儿肺水肿的治疗
中医首页
疾病大全
药方功能
中医养生
中医药库
古今名医
中医医案
中医常识
中医问答
中医养生有道
中医白领养生
中医男人养生
中医女人养生
中医延年益寿
中医少儿益智
中医春季养生
中医夏季养生
中医秋季养生
中医冬季养生
中医美容
美容有方
明星美容秘方
中医祛斑
中医祛皱
中医祛痘
中医护发
中医美乳丰胸
中医美白
药膳食疗
食之有味
四季食疗
性福药膳
疾病食疗
美容药膳
减肥药膳
药粥
药酒
药茶
煲汤
中医减肥
中药减肥
针灸减肥
脐疗减肥
埋线减肥
小儿推拿
三伏天灸
动态前沿
误区提醒
针灸推拿
针刺艾灸
推拿按摩
刮痧
拔罐
耳穴奇谈
针灸美容
针灸减肥
疾病针灸
特色脐疗
望闻问切
四诊合参
小儿四诊
望神观色
五官五轮
听声闻味
百问其症
指上谈病
舌象图解
悬丝诊脉
© 2015-2016 vjvd.com All Rights Reserved.