新浪微博
关注微信
注册
登陆
阴阳平衡
中医健康之道
做福人世
♥小儿急性血行播散型肺结核
♥病因
♥症状
♥并发症
♥检查
♥诊断鉴别
♥治疗
♥护理
♥预防
♥饮食保健
中医健道首页
>>小儿急性血行播散型肺结核概述
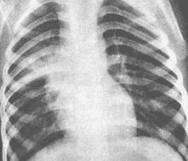
血行播散型肺结核是结核分枝杆菌一次或反复多次进入血液循环,造成肺部病变以及相应的病理、病理生理学改变和临床表现者称为血行播散型肺结核,造成全身多脏器病变时则称血行播散型结核病。血行播散型肺结核是一种危重结核病,由原发型肺结核发展而来,也可由其它结核干酪样灶破溃到血源引起。该病多见于儿童,成人亦可发生。随着人口老龄化和老年人寿命的延长以及结核病疫情的回升,老年血行播散型肺结核病有增多趋势。
【۩相关文章】
【☺用户提问】
小儿急性血行播散型肺结核是什么病?
什么叫做小儿急性血行播散型肺结核?
小儿急性血行播散型肺结核如何治疗?
小儿急性血行播散型肺结核怎么预防?
小儿急性血行播散型肺结核病因是什么?
小儿急性血行播散型肺结核吃什么药好?
小儿急性血行播散型肺结核吃什么好的快?
如何让小儿急性血行播散型肺结核好的快?
中医如何治疗小儿急性血行播散型肺结核?
西医如何治疗小儿急性血行播散型肺结核?
得了小儿急性血行播散型肺结核怎么办 需要怎么做?
吃什么食物对小儿急性血行播散型肺结核有好处?
小儿急性血行播散型肺结核的原因是什么?
人为什么会得小儿急性血行播散型肺结核?
小儿急性血行播散型肺结核要注意些什么?
小儿急性血行播散型肺结核要多久才能好?
小儿急性血行播散型肺结核严重,会导致什么?
怎么才能让小儿急性血行播散型肺结核快点好?
小儿急性血行播散型肺结核应该怎样做才能好得快?
小儿急性血行播散型肺结核不能吃那些东西?
小儿急性血行播散型肺结核了怎么样才能好受点?
如何才能快速的治愈小儿急性血行播散型肺结核?
小儿急性血行播散型肺结核有多少种?
小儿急性血行播散型肺结核时吃什么水果好?
小儿急性血行播散型肺结核需要注意些什么?
小儿急性血行播散型肺结核煲什么烫好吃
如何快速有效的治疗小儿急性血行播散型肺结核?
小儿急性血行播散型肺结核分哪几种类型?
如何防止小儿急性血行播散型肺结核?
什么偏方对小儿急性血行播散型肺结核 有用
得了小儿急性血行播散型肺结核有什么小秘方
什么药方对小儿急性血行播散型肺结核 有用
长期小儿急性血行播散型肺结核不好 怎么解决
小儿急性血行播散型肺结核吃药好还是自然痊愈好?
各种小儿急性血行播散型肺结核症状和常识用药
小儿急性血行播散型肺结核后要吃些什么?注意些什么?
۩ 小儿急性血行播散型肺结核
۞ 小儿急性血行播散型肺结核的概述
۞ 小儿急性血行播散型肺结核的病因
۞ 小儿急性血行播散型肺结核的症状
۞ 小儿急性血行播散型肺结核的并发症
۞ 小儿急性血行播散型肺结核的检查
۞ 小儿急性血行播散型肺结核的诊断鉴别
۞ 小儿急性血行播散型肺结核的治疗
۞ 小儿急性血行播散型肺结核的护理
۞ 小儿急性血行播散型肺结核的预防
۞ 小儿急性血行播散型肺结核的饮食保健
中医首页
疾病大全
药方功能
中医养生
中医药库
古今名医
中医医案
中医常识
中医问答
中医养生有道
中医白领养生
中医男人养生
中医女人养生
中医延年益寿
中医少儿益智
中医春季养生
中医夏季养生
中医秋季养生
中医冬季养生
中医美容
美容有方
明星美容秘方
中医祛斑
中医祛皱
中医祛痘
中医护发
中医美乳丰胸
中医美白
药膳食疗
食之有味
四季食疗
性福药膳
疾病食疗
美容药膳
减肥药膳
药粥
药酒
药茶
煲汤
中医减肥
中药减肥
针灸减肥
脐疗减肥
埋线减肥
小儿推拿
三伏天灸
动态前沿
误区提醒
针灸推拿
针刺艾灸
推拿按摩
刮痧
拔罐
耳穴奇谈
针灸美容
针灸减肥
疾病针灸
特色脐疗
望闻问切
四诊合参
小儿四诊
望神观色
五官五轮
听声闻味
百问其症
指上谈病
舌象图解
悬丝诊脉
© 2015-2016 vjvd.com All Rights Reserved.