新浪微博
关注微信
注册
登陆
阴阳平衡
中医健康之道
做福人世
♥小儿淋巴细胞间质性肺炎
♥发病原因
♥发病机制
♥症状
♥检查
♥诊断鉴别
♥并发症
♥治疗
♥预后
♥预防
中医健道首页
>>小儿淋巴细胞间质性肺炎概述
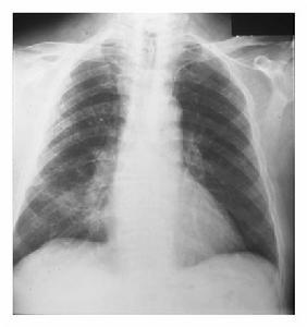
小儿淋巴细胞间质性肺炎(lymphocytic interstitial pneumonia,LIP)为一种肺间质和肺泡腔内成熟淋巴细胞良性增生的不常见病变。由于淋巴细胞间质性肺炎在成人中罕见,但常见于儿童,并多伴AIDS发生。 [1]
【۩相关文章】
【☺用户提问】
小儿淋巴细胞间质性肺炎是什么病?
什么叫做小儿淋巴细胞间质性肺炎?
小儿淋巴细胞间质性肺炎如何治疗?
小儿淋巴细胞间质性肺炎怎么预防?
小儿淋巴细胞间质性肺炎病因是什么?
小儿淋巴细胞间质性肺炎吃什么药好?
小儿淋巴细胞间质性肺炎吃什么好的快?
如何让小儿淋巴细胞间质性肺炎好的快?
中医如何治疗小儿淋巴细胞间质性肺炎?
西医如何治疗小儿淋巴细胞间质性肺炎?
得了小儿淋巴细胞间质性肺炎怎么办 需要怎么做?
吃什么食物对小儿淋巴细胞间质性肺炎有好处?
小儿淋巴细胞间质性肺炎的原因是什么?
人为什么会得小儿淋巴细胞间质性肺炎?
小儿淋巴细胞间质性肺炎要注意些什么?
小儿淋巴细胞间质性肺炎要多久才能好?
小儿淋巴细胞间质性肺炎严重,会导致什么?
怎么才能让小儿淋巴细胞间质性肺炎快点好?
小儿淋巴细胞间质性肺炎应该怎样做才能好得快?
小儿淋巴细胞间质性肺炎不能吃那些东西?
小儿淋巴细胞间质性肺炎了怎么样才能好受点?
如何才能快速的治愈小儿淋巴细胞间质性肺炎?
小儿淋巴细胞间质性肺炎有多少种?
小儿淋巴细胞间质性肺炎时吃什么水果好?
小儿淋巴细胞间质性肺炎需要注意些什么?
小儿淋巴细胞间质性肺炎煲什么烫好吃
如何快速有效的治疗小儿淋巴细胞间质性肺炎?
小儿淋巴细胞间质性肺炎分哪几种类型?
如何防止小儿淋巴细胞间质性肺炎?
什么偏方对小儿淋巴细胞间质性肺炎 有用
得了小儿淋巴细胞间质性肺炎有什么小秘方
什么药方对小儿淋巴细胞间质性肺炎 有用
长期小儿淋巴细胞间质性肺炎不好 怎么解决
小儿淋巴细胞间质性肺炎吃药好还是自然痊愈好?
各种小儿淋巴细胞间质性肺炎症状和常识用药
小儿淋巴细胞间质性肺炎后要吃些什么?注意些什么?
۩ 小儿淋巴细胞间质性肺炎
۞ 小儿淋巴细胞间质性肺炎的概述
۞ 小儿淋巴细胞间质性肺炎的发病原因
۞ 小儿淋巴细胞间质性肺炎的发病机制
۞ 小儿淋巴细胞间质性肺炎的症状
۞ 小儿淋巴细胞间质性肺炎的检查
۞ 小儿淋巴细胞间质性肺炎的诊断鉴别
۞ 小儿淋巴细胞间质性肺炎的并发症
۞ 小儿淋巴细胞间质性肺炎的治疗
۞ 小儿淋巴细胞间质性肺炎的预后
۞ 小儿淋巴细胞间质性肺炎的预防
中医首页
疾病大全
药方功能
中医养生
中医药库
古今名医
中医医案
中医常识
中医问答
中医养生有道
中医白领养生
中医男人养生
中医女人养生
中医延年益寿
中医少儿益智
中医春季养生
中医夏季养生
中医秋季养生
中医冬季养生
中医美容
美容有方
明星美容秘方
中医祛斑
中医祛皱
中医祛痘
中医护发
中医美乳丰胸
中医美白
药膳食疗
食之有味
四季食疗
性福药膳
疾病食疗
美容药膳
减肥药膳
药粥
药酒
药茶
煲汤
中医减肥
中药减肥
针灸减肥
脐疗减肥
埋线减肥
小儿推拿
三伏天灸
动态前沿
误区提醒
针灸推拿
针刺艾灸
推拿按摩
刮痧
拔罐
耳穴奇谈
针灸美容
针灸减肥
疾病针灸
特色脐疗
望闻问切
四诊合参
小儿四诊
望神观色
五官五轮
听声闻味
百问其症
指上谈病
舌象图解
悬丝诊脉
© 2015-2016 vjvd.com All Rights Reserved.