新浪微博
关注微信
注册
登陆
阴阳平衡
中医健康之道
做福人世
♥小儿原发型肺结核
♥病因
♥症状
♥检查
♥鉴别诊断
♥并发症
♥预防
♥治疗
中医健道首页
>>小儿原发型肺结核概述
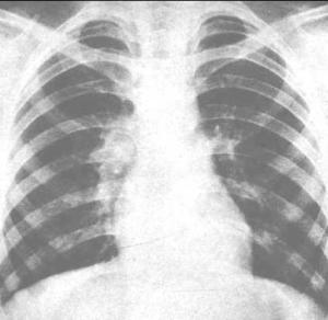
小儿原发型肺结核是原发性结核病中最常见者,为结核菌初次侵入肺部后发生的原发感染,是小儿肺结核的主要类型,占儿童各型肺结核总数的85.3%。原发型肺结核包括原发综合征和支气管淋巴结结核。前者由肺原发病灶、局部淋巴结病变和两者相连的淋巴管炎组成。后者以胸腔内肿大的淋巴结为主,而肺部原发病灶或因其范围较小,或被纵隔影掩盖,X线片无法查出,或原发病灶已经吸收,仅遗留局部肿大的淋巴结,故在临床上诊断为支气管淋巴结结核。此两者并为一型,即原发型肺结核。[1]
【۩相关文章】
【☺用户提问】
小儿原发型肺结核是什么病?
什么叫做小儿原发型肺结核?
小儿原发型肺结核如何治疗?
小儿原发型肺结核怎么预防?
小儿原发型肺结核病因是什么?
小儿原发型肺结核吃什么药好?
小儿原发型肺结核吃什么好的快?
如何让小儿原发型肺结核好的快?
中医如何治疗小儿原发型肺结核?
西医如何治疗小儿原发型肺结核?
得了小儿原发型肺结核怎么办 需要怎么做?
吃什么食物对小儿原发型肺结核有好处?
小儿原发型肺结核的原因是什么?
人为什么会得小儿原发型肺结核?
小儿原发型肺结核要注意些什么?
小儿原发型肺结核要多久才能好?
小儿原发型肺结核严重,会导致什么?
怎么才能让小儿原发型肺结核快点好?
小儿原发型肺结核应该怎样做才能好得快?
小儿原发型肺结核不能吃那些东西?
小儿原发型肺结核了怎么样才能好受点?
如何才能快速的治愈小儿原发型肺结核?
小儿原发型肺结核有多少种?
小儿原发型肺结核时吃什么水果好?
小儿原发型肺结核需要注意些什么?
小儿原发型肺结核煲什么烫好吃
如何快速有效的治疗小儿原发型肺结核?
小儿原发型肺结核分哪几种类型?
如何防止小儿原发型肺结核?
什么偏方对小儿原发型肺结核 有用
得了小儿原发型肺结核有什么小秘方
什么药方对小儿原发型肺结核 有用
长期小儿原发型肺结核不好 怎么解决
小儿原发型肺结核吃药好还是自然痊愈好?
各种小儿原发型肺结核症状和常识用药
小儿原发型肺结核后要吃些什么?注意些什么?
۩ 小儿原发型肺结核
۞ 小儿原发型肺结核的概述
۞ 小儿原发型肺结核的病因
۞ 小儿原发型肺结核的症状
۞ 小儿原发型肺结核的检查
۞ 小儿原发型肺结核的鉴别诊断
۞ 小儿原发型肺结核的并发症
۞ 小儿原发型肺结核的预防
۞ 小儿原发型肺结核的治疗
中医首页
疾病大全
药方功能
中医养生
中医药库
古今名医
中医医案
中医常识
中医问答
中医养生有道
中医白领养生
中医男人养生
中医女人养生
中医延年益寿
中医少儿益智
中医春季养生
中医夏季养生
中医秋季养生
中医冬季养生
中医美容
美容有方
明星美容秘方
中医祛斑
中医祛皱
中医祛痘
中医护发
中医美乳丰胸
中医美白
药膳食疗
食之有味
四季食疗
性福药膳
疾病食疗
美容药膳
减肥药膳
药粥
药酒
药茶
煲汤
中医减肥
中药减肥
针灸减肥
脐疗减肥
埋线减肥
小儿推拿
三伏天灸
动态前沿
误区提醒
针灸推拿
针刺艾灸
推拿按摩
刮痧
拔罐
耳穴奇谈
针灸美容
针灸减肥
疾病针灸
特色脐疗
望闻问切
四诊合参
小儿四诊
望神观色
五官五轮
听声闻味
百问其症
指上谈病
舌象图解
悬丝诊脉
© 2015-2016 vjvd.com All Rights Reserved.