新浪微博
关注微信
注册
登陆
阴阳平衡
中医健康之道
做福人世
♥胸部阿米巴病
♥概述
♥病因
♥症状
♥检查
♥诊断
♥并发症
♥治疗
中医健道首页
>>胸部阿米巴病概述
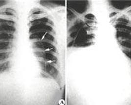
肠外阿米巴病中,肺和胸膜阿米巴病发生率仅次于肝脏,胸部阿米巴病右侧多发且大多继发于靠近膈肌的肝阿米巴脓肿,而肝阿米巴脓肿是肠阿米巴病的晚期并发症,胸部阿米巴病占阿米巴痢疾的1%~8%,占肝阿米巴病的15%~20%。
【۩相关文章】
【☺用户提问】
胸部阿米巴病是什么病?
什么叫做胸部阿米巴病?
胸部阿米巴病如何治疗?
胸部阿米巴病怎么预防?
胸部阿米巴病病因是什么?
胸部阿米巴病吃什么药好?
胸部阿米巴病吃什么好的快?
如何让胸部阿米巴病好的快?
中医如何治疗胸部阿米巴病?
西医如何治疗胸部阿米巴病?
得了胸部阿米巴病怎么办 需要怎么做?
吃什么食物对胸部阿米巴病有好处?
胸部阿米巴病的原因是什么?
人为什么会得胸部阿米巴病?
胸部阿米巴病要注意些什么?
胸部阿米巴病要多久才能好?
胸部阿米巴病严重,会导致什么?
怎么才能让胸部阿米巴病快点好?
胸部阿米巴病应该怎样做才能好得快?
胸部阿米巴病不能吃那些东西?
胸部阿米巴病了怎么样才能好受点?
如何才能快速的治愈胸部阿米巴病?
胸部阿米巴病有多少种?
胸部阿米巴病时吃什么水果好?
胸部阿米巴病需要注意些什么?
胸部阿米巴病煲什么烫好吃
如何快速有效的治疗胸部阿米巴病?
胸部阿米巴病分哪几种类型?
如何防止胸部阿米巴病?
什么偏方对胸部阿米巴病 有用
得了胸部阿米巴病有什么小秘方
什么药方对胸部阿米巴病 有用
长期胸部阿米巴病不好 怎么解决
胸部阿米巴病吃药好还是自然痊愈好?
各种胸部阿米巴病症状和常识用药
胸部阿米巴病后要吃些什么?注意些什么?
۩ 胸部阿米巴病
۞ 胸部阿米巴病的概述
۞ 胸部阿米巴病的概述
۞ 胸部阿米巴病的病因
۞ 胸部阿米巴病的症状
۞ 胸部阿米巴病的检查
۞ 胸部阿米巴病的诊断
۞ 胸部阿米巴病的并发症
۞ 胸部阿米巴病的治疗
中医首页
疾病大全
药方功能
中医养生
中医药库
古今名医
中医医案
中医常识
中医问答
中医养生有道
中医白领养生
中医男人养生
中医女人养生
中医延年益寿
中医少儿益智
中医春季养生
中医夏季养生
中医秋季养生
中医冬季养生
中医美容
美容有方
明星美容秘方
中医祛斑
中医祛皱
中医祛痘
中医护发
中医美乳丰胸
中医美白
药膳食疗
食之有味
四季食疗
性福药膳
疾病食疗
美容药膳
减肥药膳
药粥
药酒
药茶
煲汤
中医减肥
中药减肥
针灸减肥
脐疗减肥
埋线减肥
小儿推拿
三伏天灸
动态前沿
误区提醒
针灸推拿
针刺艾灸
推拿按摩
刮痧
拔罐
耳穴奇谈
针灸美容
针灸减肥
疾病针灸
特色脐疗
望闻问切
四诊合参
小儿四诊
望神观色
五官五轮
听声闻味
百问其症
指上谈病
舌象图解
悬丝诊脉
© 2015-2016 vjvd.com All Rights Reserved.