新浪微博
关注微信
注册
登陆
阴阳平衡
中医健康之道
做福人世
♥宫颈腺癌
♥概 述
♥病因
♥发病机制
♥实验室检查
♥其它辅助检查
♥临床表现
♥ 并发症
♥诊断
♥鉴别诊断
♥治疗
♥预后
♥预防
中医健道首页
>>宫颈腺癌概述
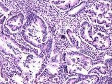
宫颈腺癌来自宫颈管并浸润宫颈管壁,宫颈腺癌较鳞癌少见,以往报道宫颈腺癌占宫颈鳞癌的15%~20%。宫颈腺癌可发生于18~84 岁妇女,其平均发病年龄在49岁左右,多发生于更年期妇女。[1]
【۩相关文章】
【☺用户提问】
宫颈腺癌是什么病?
什么叫做宫颈腺癌?
宫颈腺癌如何治疗?
宫颈腺癌怎么预防?
宫颈腺癌病因是什么?
宫颈腺癌吃什么药好?
宫颈腺癌吃什么好的快?
如何让宫颈腺癌好的快?
中医如何治疗宫颈腺癌?
西医如何治疗宫颈腺癌?
得了宫颈腺癌怎么办 需要怎么做?
吃什么食物对宫颈腺癌有好处?
宫颈腺癌的原因是什么?
人为什么会得宫颈腺癌?
宫颈腺癌要注意些什么?
宫颈腺癌要多久才能好?
宫颈腺癌严重,会导致什么?
怎么才能让宫颈腺癌快点好?
宫颈腺癌应该怎样做才能好得快?
宫颈腺癌不能吃那些东西?
宫颈腺癌了怎么样才能好受点?
如何才能快速的治愈宫颈腺癌?
宫颈腺癌有多少种?
宫颈腺癌时吃什么水果好?
宫颈腺癌需要注意些什么?
宫颈腺癌煲什么烫好吃
如何快速有效的治疗宫颈腺癌?
宫颈腺癌分哪几种类型?
如何防止宫颈腺癌?
什么偏方对宫颈腺癌 有用
得了宫颈腺癌有什么小秘方
什么药方对宫颈腺癌 有用
长期宫颈腺癌不好 怎么解决
宫颈腺癌吃药好还是自然痊愈好?
各种宫颈腺癌症状和常识用药
宫颈腺癌后要吃些什么?注意些什么?
۩ 宫颈腺癌
۞ 宫颈腺癌的概述
۞ 宫颈腺癌的概 述
۞ 宫颈腺癌的病因
۞ 宫颈腺癌的发病机制
۞ 宫颈腺癌的实验室检查
۞ 宫颈腺癌的其它辅助检查
۞ 宫颈腺癌的临床表现
۞ 宫颈腺癌的 并发症
۞ 宫颈腺癌的诊断
۞ 宫颈腺癌的鉴别诊断
۞ 宫颈腺癌的治疗
۞ 宫颈腺癌的预后
۞ 宫颈腺癌的预防
中医首页
疾病大全
药方功能
中医养生
中医药库
古今名医
中医医案
中医常识
中医问答
中医养生有道
中医白领养生
中医男人养生
中医女人养生
中医延年益寿
中医少儿益智
中医春季养生
中医夏季养生
中医秋季养生
中医冬季养生
中医美容
美容有方
明星美容秘方
中医祛斑
中医祛皱
中医祛痘
中医护发
中医美乳丰胸
中医美白
药膳食疗
食之有味
四季食疗
性福药膳
疾病食疗
美容药膳
减肥药膳
药粥
药酒
药茶
煲汤
中医减肥
中药减肥
针灸减肥
脐疗减肥
埋线减肥
小儿推拿
三伏天灸
动态前沿
误区提醒
针灸推拿
针刺艾灸
推拿按摩
刮痧
拔罐
耳穴奇谈
针灸美容
针灸减肥
疾病针灸
特色脐疗
望闻问切
四诊合参
小儿四诊
望神观色
五官五轮
听声闻味
百问其症
指上谈病
舌象图解
悬丝诊脉
© 2015-2016 vjvd.com All Rights Reserved.