新浪微博
关注微信
注册
登陆
阴阳平衡
中医健康之道
做福人世
♥淋球菌感染
♥病因
♥症状
♥检查
♥鉴别
♥治疗
中医健道首页
>>淋球菌感染概述
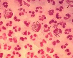
淋球菌感染是指由淋病奈瑟球菌(Neisseria gonorrhoeae,NG,简称淋球菌)引起的泌尿生殖系统的化脓性感染,是常见的性传播疾病之一,俗称淋病。临床表现以尿道炎、宫颈炎多见,典型症状是排尿困难、尿频、尿急、尿痛、排出黏液或脓性分泌物等。也可侵犯眼睛、咽部、直肠和盆腔等处以及血行播散性感染引起关节炎、肝周炎、败血症、心内膜炎或脑膜炎等。
【۩相关文章】
【☺用户提问】
淋球菌感染是什么病?
什么叫做淋球菌感染?
淋球菌感染如何治疗?
淋球菌感染怎么预防?
淋球菌感染病因是什么?
淋球菌感染吃什么药好?
淋球菌感染吃什么好的快?
如何让淋球菌感染好的快?
中医如何治疗淋球菌感染?
西医如何治疗淋球菌感染?
得了淋球菌感染怎么办 需要怎么做?
吃什么食物对淋球菌感染有好处?
淋球菌感染的原因是什么?
人为什么会得淋球菌感染?
淋球菌感染要注意些什么?
淋球菌感染要多久才能好?
淋球菌感染严重,会导致什么?
怎么才能让淋球菌感染快点好?
淋球菌感染应该怎样做才能好得快?
淋球菌感染不能吃那些东西?
淋球菌感染了怎么样才能好受点?
如何才能快速的治愈淋球菌感染?
淋球菌感染有多少种?
淋球菌感染时吃什么水果好?
淋球菌感染需要注意些什么?
淋球菌感染煲什么烫好吃
如何快速有效的治疗淋球菌感染?
淋球菌感染分哪几种类型?
如何防止淋球菌感染?
什么偏方对淋球菌感染 有用
得了淋球菌感染有什么小秘方
什么药方对淋球菌感染 有用
长期淋球菌感染不好 怎么解决
淋球菌感染吃药好还是自然痊愈好?
各种淋球菌感染症状和常识用药
淋球菌感染后要吃些什么?注意些什么?
۩ 淋球菌感染
۞ 淋球菌感染的概述
۞ 淋球菌感染的病因
۞ 淋球菌感染的症状
۞ 淋球菌感染的检查
۞ 淋球菌感染的鉴别
۞ 淋球菌感染的治疗
中医首页
疾病大全
药方功能
中医养生
中医药库
古今名医
中医医案
中医常识
中医问答
中医养生有道
中医白领养生
中医男人养生
中医女人养生
中医延年益寿
中医少儿益智
中医春季养生
中医夏季养生
中医秋季养生
中医冬季养生
中医美容
美容有方
明星美容秘方
中医祛斑
中医祛皱
中医祛痘
中医护发
中医美乳丰胸
中医美白
药膳食疗
食之有味
四季食疗
性福药膳
疾病食疗
美容药膳
减肥药膳
药粥
药酒
药茶
煲汤
中医减肥
中药减肥
针灸减肥
脐疗减肥
埋线减肥
小儿推拿
三伏天灸
动态前沿
误区提醒
针灸推拿
针刺艾灸
推拿按摩
刮痧
拔罐
耳穴奇谈
针灸美容
针灸减肥
疾病针灸
特色脐疗
望闻问切
四诊合参
小儿四诊
望神观色
五官五轮
听声闻味
百问其症
指上谈病
舌象图解
悬丝诊脉
© 2015-2016 vjvd.com All Rights Reserved.