新浪微博
关注微信
注册
登陆
阴阳平衡
中医健康之道
做福人世
♥乳腺导管扩张症
♥疾病概述
♥病理病因
♥症状体征
♥疾病检查
♥疾病诊断
♥疾病治疗
♥疾病预防
♥饮食保健
中医健道首页
>>乳腺导管扩张症概述
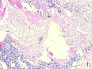
乳腺导管扩张症是一种并不少见的良性疾病,常见于中、老年女性,发病高峰年龄为50-60岁。由于其临床表现复杂多变,易被误诊为乳腺癌。
【۩相关文章】
【☺用户提问】
乳腺导管扩张症是什么病?
什么叫做乳腺导管扩张症?
乳腺导管扩张症如何治疗?
乳腺导管扩张症怎么预防?
乳腺导管扩张症病因是什么?
乳腺导管扩张症吃什么药好?
乳腺导管扩张症吃什么好的快?
如何让乳腺导管扩张症好的快?
中医如何治疗乳腺导管扩张症?
西医如何治疗乳腺导管扩张症?
得了乳腺导管扩张症怎么办 需要怎么做?
吃什么食物对乳腺导管扩张症有好处?
乳腺导管扩张症的原因是什么?
人为什么会得乳腺导管扩张症?
乳腺导管扩张症要注意些什么?
乳腺导管扩张症要多久才能好?
乳腺导管扩张症严重,会导致什么?
怎么才能让乳腺导管扩张症快点好?
乳腺导管扩张症应该怎样做才能好得快?
乳腺导管扩张症不能吃那些东西?
乳腺导管扩张症了怎么样才能好受点?
如何才能快速的治愈乳腺导管扩张症?
乳腺导管扩张症有多少种?
乳腺导管扩张症时吃什么水果好?
乳腺导管扩张症需要注意些什么?
乳腺导管扩张症煲什么烫好吃
如何快速有效的治疗乳腺导管扩张症?
乳腺导管扩张症分哪几种类型?
如何防止乳腺导管扩张症?
什么偏方对乳腺导管扩张症 有用
得了乳腺导管扩张症有什么小秘方
什么药方对乳腺导管扩张症 有用
长期乳腺导管扩张症不好 怎么解决
乳腺导管扩张症吃药好还是自然痊愈好?
各种乳腺导管扩张症症状和常识用药
乳腺导管扩张症后要吃些什么?注意些什么?
۩ 乳腺导管扩张症
۞ 乳腺导管扩张症的概述
۞ 乳腺导管扩张症的疾病概述
۞ 乳腺导管扩张症的病理病因
۞ 乳腺导管扩张症的症状体征
۞ 乳腺导管扩张症的疾病检查
۞ 乳腺导管扩张症的疾病诊断
۞ 乳腺导管扩张症的疾病治疗
۞ 乳腺导管扩张症的疾病预防
۞ 乳腺导管扩张症的饮食保健
中医首页
疾病大全
药方功能
中医养生
中医药库
古今名医
中医医案
中医常识
中医问答
中医养生有道
中医白领养生
中医男人养生
中医女人养生
中医延年益寿
中医少儿益智
中医春季养生
中医夏季养生
中医秋季养生
中医冬季养生
中医美容
美容有方
明星美容秘方
中医祛斑
中医祛皱
中医祛痘
中医护发
中医美乳丰胸
中医美白
药膳食疗
食之有味
四季食疗
性福药膳
疾病食疗
美容药膳
减肥药膳
药粥
药酒
药茶
煲汤
中医减肥
中药减肥
针灸减肥
脐疗减肥
埋线减肥
小儿推拿
三伏天灸
动态前沿
误区提醒
针灸推拿
针刺艾灸
推拿按摩
刮痧
拔罐
耳穴奇谈
针灸美容
针灸减肥
疾病针灸
特色脐疗
望闻问切
四诊合参
小儿四诊
望神观色
五官五轮
听声闻味
百问其症
指上谈病
舌象图解
悬丝诊脉
© 2015-2016 vjvd.com All Rights Reserved.