新浪微博
关注微信
注册
登陆
阴阳平衡
中医健康之道
做福人世
♥葡萄胎
♥致病原因
♥临床表现
♥疾病检查
♥病情诊断
♥鉴别诊断
♥治疗方法
♥预后预防
中医健道首页
>>葡萄胎概述
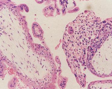
葡萄胎(hydatidiform mole),又称为水泡状胎块、水泡胎,指妊娠后胎盘绒毛滋养细胞增生,间质高度水肿,形成大小不一的水泡,水泡间相连成串,形如葡萄。葡萄胎分为完全性葡萄胎、部分性葡萄胎两类,完全性葡萄胎指胎盘绒毛全部受累,整个宫腔充满水泡,弥漫性滋养细胞增生,无胎儿及胚胎组织可见;部分性葡萄胎指部分胎盘绒毛肿胀变性,局部滋养细胞增生,胚胎及胎儿组织可见,但胎儿多死亡,有时可见较孕龄小的活胎或畸胎,极少有足月婴诞生。
中文名:
葡萄胎
别名:
水泡状胎块,水泡胎
就诊科室:
妇产科
常见症状:
有停经史,阴道不规则出血,腹痛
外文名:
hydatidiform mole
英文别名:
vesicular mole
常见病因:
营养因素,感染因素,内分泌失调,孕卵缺损,种族因素,原癌基因的过度表达,抑癌基因变异失活
传染性:
无
【۩相关文章】
三条葡萄胎患者刮宫术后需要接受防御性化疗的特征
三条葡萄胎患者刮宫术后需要接受防御性化疗的特征
昨晚梦见怀孕了,可我去年四月做了葡萄胎的手术。
昨晚梦见怀孕了,可我去年四月做了葡萄胎的手术。
部分性葡萄胎
部分性葡萄胎
求助有朋友得过葡萄胎胎吗?在哪里治愈的?告诉我任何恶性葡萄胎的资讯都行
求助有朋友得过葡萄胎胎吗?在哪里治愈的?告诉我任何恶性葡萄胎的资讯都行
求助有朋友得过葡萄胎胎吗?在哪里治愈的?告诉我任何恶性葡萄胎的资讯都行
谁知道北京那个医院治疗恶性葡萄胎胎好呢?
谁知道北京那个医院治疗恶性葡萄胎胎好呢?
谁知道北京那个医院治疗恶性葡萄胎胎好呢?
【☺用户提问】
葡萄胎是什么病?
什么叫做葡萄胎?
葡萄胎如何治疗?
葡萄胎怎么预防?
葡萄胎病因是什么?
葡萄胎吃什么药好?
葡萄胎吃什么好的快?
如何让葡萄胎好的快?
中医如何治疗葡萄胎?
西医如何治疗葡萄胎?
得了葡萄胎怎么办 需要怎么做?
吃什么食物对葡萄胎有好处?
葡萄胎的原因是什么?
人为什么会得葡萄胎?
葡萄胎要注意些什么?
葡萄胎要多久才能好?
葡萄胎严重,会导致什么?
怎么才能让葡萄胎快点好?
葡萄胎应该怎样做才能好得快?
葡萄胎不能吃那些东西?
葡萄胎了怎么样才能好受点?
如何才能快速的治愈葡萄胎?
葡萄胎有多少种?
葡萄胎时吃什么水果好?
葡萄胎需要注意些什么?
葡萄胎煲什么烫好吃
如何快速有效的治疗葡萄胎?
葡萄胎分哪几种类型?
如何防止葡萄胎?
什么偏方对葡萄胎 有用
得了葡萄胎有什么小秘方
什么药方对葡萄胎 有用
长期葡萄胎不好 怎么解决
葡萄胎吃药好还是自然痊愈好?
各种葡萄胎症状和常识用药
葡萄胎后要吃些什么?注意些什么?
۩ 葡萄胎
۞ 葡萄胎的概述
۞ 葡萄胎的致病原因
۞ 葡萄胎的临床表现
۞ 葡萄胎的疾病检查
۞ 葡萄胎的病情诊断
۞ 葡萄胎的鉴别诊断
۞ 葡萄胎的治疗方法
۞ 葡萄胎的预后预防
中医首页
疾病大全
药方功能
中医养生
中医药库
古今名医
中医医案
中医常识
中医问答
中医养生有道
中医白领养生
中医男人养生
中医女人养生
中医延年益寿
中医少儿益智
中医春季养生
中医夏季养生
中医秋季养生
中医冬季养生
中医美容
美容有方
明星美容秘方
中医祛斑
中医祛皱
中医祛痘
中医护发
中医美乳丰胸
中医美白
药膳食疗
食之有味
四季食疗
性福药膳
疾病食疗
美容药膳
减肥药膳
药粥
药酒
药茶
煲汤
中医减肥
中药减肥
针灸减肥
脐疗减肥
埋线减肥
小儿推拿
三伏天灸
动态前沿
误区提醒
针灸推拿
针刺艾灸
推拿按摩
刮痧
拔罐
耳穴奇谈
针灸美容
针灸减肥
疾病针灸
特色脐疗
望闻问切
四诊合参
小儿四诊
望神观色
五官五轮
听声闻味
百问其症
指上谈病
舌象图解
悬丝诊脉
© 2015-2016 vjvd.com All Rights Reserved.