中医健道首页>>乳头状瘤概述

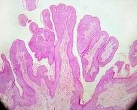
       乳头状瘤是乳头表皮的鳞状上皮细胞呈乳头样增生的病变。发病年龄多在中老年。起病隐袭,临床表现无特异性,以上腹部症状居多,如胸骨后痛、吞咽困难、胃灼热感等,尚有便血、缺铁性贫血。呕吐为主要症状者少,患者往往因胃部疾病作胃镜检查时偶然发现。
© 2015-2016 vjvd.com All Rights Reserved.