新浪微博
关注微信
注册
登陆
阴阳平衡
中医健康之道
做福人世
♥乳头状瘤
♥基本概述
♥发病机理
♥临床表现
♥辅助检查
♥鉴别诊断
♥治疗预防
♥诊断标准
♥术后治疗方法
♥乳头状瘤病毒
♥乳头状瘤化疗
中医健道首页
>>乳头状瘤概述
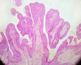
乳头状瘤是乳头表皮的鳞状上皮细胞呈乳头样增生的病变。发病年龄多在中老年。起病隐袭,临床表现无特异性,以上腹部症状居多,如胸骨后痛、吞咽困难、胃灼热感等,尚有便血、缺铁性贫血。呕吐为主要症状者少,患者往往因胃部疾病作胃镜检查时偶然发现。
【۩相关文章】
脉络丛乳头状瘤最佳治疗方法
脉络丛乳头状瘤最佳治疗方法
人乳头状瘤病毒
人乳头状瘤病毒
请问乳腺腺病并导管内乳头状瘤?
请问乳腺腺病并导管内乳头状瘤?
请问乳腺腺病并导管内乳头状瘤?
食道部分鳞状上皮乳头状瘤样增生是什么病?这样医?
食道部分鳞状上皮乳头状瘤样增生是什么病?这样医?
【☺用户提问】
乳头状瘤是什么病?
什么叫做乳头状瘤?
乳头状瘤如何治疗?
乳头状瘤怎么预防?
乳头状瘤病因是什么?
乳头状瘤吃什么药好?
乳头状瘤吃什么好的快?
如何让乳头状瘤好的快?
中医如何治疗乳头状瘤?
西医如何治疗乳头状瘤?
得了乳头状瘤怎么办 需要怎么做?
吃什么食物对乳头状瘤有好处?
乳头状瘤的原因是什么?
人为什么会得乳头状瘤?
乳头状瘤要注意些什么?
乳头状瘤要多久才能好?
乳头状瘤严重,会导致什么?
怎么才能让乳头状瘤快点好?
乳头状瘤应该怎样做才能好得快?
乳头状瘤不能吃那些东西?
乳头状瘤了怎么样才能好受点?
如何才能快速的治愈乳头状瘤?
乳头状瘤有多少种?
乳头状瘤时吃什么水果好?
乳头状瘤需要注意些什么?
乳头状瘤煲什么烫好吃
如何快速有效的治疗乳头状瘤?
乳头状瘤分哪几种类型?
如何防止乳头状瘤?
什么偏方对乳头状瘤 有用
得了乳头状瘤有什么小秘方
什么药方对乳头状瘤 有用
长期乳头状瘤不好 怎么解决
乳头状瘤吃药好还是自然痊愈好?
各种乳头状瘤症状和常识用药
乳头状瘤后要吃些什么?注意些什么?
۩ 乳头状瘤
۞ 乳头状瘤的概述
۞ 乳头状瘤的基本概述
۞ 乳头状瘤的发病机理
۞ 乳头状瘤的临床表现
۞ 乳头状瘤的辅助检查
۞ 乳头状瘤的鉴别诊断
۞ 乳头状瘤的治疗预防
۞ 乳头状瘤的诊断标准
۞ 乳头状瘤的术后治疗方法
۞ 乳头状瘤的乳头状瘤病毒
۞ 乳头状瘤的乳头状瘤化疗
中医首页
疾病大全
药方功能
中医养生
中医药库
古今名医
中医医案
中医常识
中医问答
中医养生有道
中医白领养生
中医男人养生
中医女人养生
中医延年益寿
中医少儿益智
中医春季养生
中医夏季养生
中医秋季养生
中医冬季养生
中医美容
美容有方
明星美容秘方
中医祛斑
中医祛皱
中医祛痘
中医护发
中医美乳丰胸
中医美白
药膳食疗
食之有味
四季食疗
性福药膳
疾病食疗
美容药膳
减肥药膳
药粥
药酒
药茶
煲汤
中医减肥
中药减肥
针灸减肥
脐疗减肥
埋线减肥
小儿推拿
三伏天灸
动态前沿
误区提醒
针灸推拿
针刺艾灸
推拿按摩
刮痧
拔罐
耳穴奇谈
针灸美容
针灸减肥
疾病针灸
特色脐疗
望闻问切
四诊合参
小儿四诊
望神观色
五官五轮
听声闻味
百问其症
指上谈病
舌象图解
悬丝诊脉
© 2015-2016 vjvd.com All Rights Reserved.