新浪微博
关注微信
注册
登陆
阴阳平衡
中医健康之道
做福人世
♥外阴恶性横纹肌样瘤
♥病理病因
♥临床表现
♥诊断
♥检查鉴别
♥治疗
♥预防护理
中医健道首页
>>外阴恶性横纹肌样瘤概述
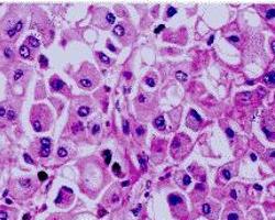
外阴恶性横纹肌样瘤(malignant rhab-doid tumour of the vulva)首先以“预后不良的横纹肌肉瘤样Wilm瘤”于1978年报道,虽然形态上酷似横纹肌母细胞,但电镜和免疫组化未发现横纹肌分化的证据。
【۩相关文章】
【☺用户提问】
外阴恶性横纹肌样瘤是什么病?
什么叫做外阴恶性横纹肌样瘤?
外阴恶性横纹肌样瘤如何治疗?
外阴恶性横纹肌样瘤怎么预防?
外阴恶性横纹肌样瘤病因是什么?
外阴恶性横纹肌样瘤吃什么药好?
外阴恶性横纹肌样瘤吃什么好的快?
如何让外阴恶性横纹肌样瘤好的快?
中医如何治疗外阴恶性横纹肌样瘤?
西医如何治疗外阴恶性横纹肌样瘤?
得了外阴恶性横纹肌样瘤怎么办 需要怎么做?
吃什么食物对外阴恶性横纹肌样瘤有好处?
外阴恶性横纹肌样瘤的原因是什么?
人为什么会得外阴恶性横纹肌样瘤?
外阴恶性横纹肌样瘤要注意些什么?
外阴恶性横纹肌样瘤要多久才能好?
外阴恶性横纹肌样瘤严重,会导致什么?
怎么才能让外阴恶性横纹肌样瘤快点好?
外阴恶性横纹肌样瘤应该怎样做才能好得快?
外阴恶性横纹肌样瘤不能吃那些东西?
外阴恶性横纹肌样瘤了怎么样才能好受点?
如何才能快速的治愈外阴恶性横纹肌样瘤?
外阴恶性横纹肌样瘤有多少种?
外阴恶性横纹肌样瘤时吃什么水果好?
外阴恶性横纹肌样瘤需要注意些什么?
外阴恶性横纹肌样瘤煲什么烫好吃
如何快速有效的治疗外阴恶性横纹肌样瘤?
外阴恶性横纹肌样瘤分哪几种类型?
如何防止外阴恶性横纹肌样瘤?
什么偏方对外阴恶性横纹肌样瘤 有用
得了外阴恶性横纹肌样瘤有什么小秘方
什么药方对外阴恶性横纹肌样瘤 有用
长期外阴恶性横纹肌样瘤不好 怎么解决
外阴恶性横纹肌样瘤吃药好还是自然痊愈好?
各种外阴恶性横纹肌样瘤症状和常识用药
外阴恶性横纹肌样瘤后要吃些什么?注意些什么?
۩ 外阴恶性横纹肌样瘤
۞ 外阴恶性横纹肌样瘤的概述
۞ 外阴恶性横纹肌样瘤的病理病因
۞ 外阴恶性横纹肌样瘤的临床表现
۞ 外阴恶性横纹肌样瘤的诊断
۞ 外阴恶性横纹肌样瘤的检查鉴别
۞ 外阴恶性横纹肌样瘤的治疗
۞ 外阴恶性横纹肌样瘤的预防护理
中医首页
疾病大全
药方功能
中医养生
中医药库
古今名医
中医医案
中医常识
中医问答
中医养生有道
中医白领养生
中医男人养生
中医女人养生
中医延年益寿
中医少儿益智
中医春季养生
中医夏季养生
中医秋季养生
中医冬季养生
中医美容
美容有方
明星美容秘方
中医祛斑
中医祛皱
中医祛痘
中医护发
中医美乳丰胸
中医美白
药膳食疗
食之有味
四季食疗
性福药膳
疾病食疗
美容药膳
减肥药膳
药粥
药酒
药茶
煲汤
中医减肥
中药减肥
针灸减肥
脐疗减肥
埋线减肥
小儿推拿
三伏天灸
动态前沿
误区提醒
针灸推拿
针刺艾灸
推拿按摩
刮痧
拔罐
耳穴奇谈
针灸美容
针灸减肥
疾病针灸
特色脐疗
望闻问切
四诊合参
小儿四诊
望神观色
五官五轮
听声闻味
百问其症
指上谈病
舌象图解
悬丝诊脉
© 2015-2016 vjvd.com All Rights Reserved.