新浪微博
关注微信
注册
登陆
阴阳平衡
中医健康之道
做福人世
♥外阴佩吉特病
♥病因介绍
♥常见症状
♥并发症
♥相关检查
♥相关诊断
♥鉴别诊断
♥治疗方法
♥预防措施
♥护理介绍
♥饮食保健
中医健道首页
>>外阴佩吉特病概述
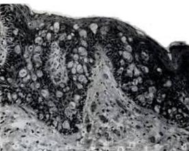
外阴佩吉特病是一种缓慢逐渐发展的癌,含典型的有空泡形成的Paget细胞,约有半数的患者有汗腺的累及。多发生于大阴唇和肛周,外阴瘙痒和烧灼感是常见症状,检查发现外阴病灶高出皮肤,局部增厚,有硬结及皮肤表面有脱屑,常有色素减退类似白斑,一些外阴佩吉特病的患者患有潜在腺癌。
【۩相关文章】
【☺用户提问】
外阴佩吉特病是什么病?
什么叫做外阴佩吉特病?
外阴佩吉特病如何治疗?
外阴佩吉特病怎么预防?
外阴佩吉特病病因是什么?
外阴佩吉特病吃什么药好?
外阴佩吉特病吃什么好的快?
如何让外阴佩吉特病好的快?
中医如何治疗外阴佩吉特病?
西医如何治疗外阴佩吉特病?
得了外阴佩吉特病怎么办 需要怎么做?
吃什么食物对外阴佩吉特病有好处?
外阴佩吉特病的原因是什么?
人为什么会得外阴佩吉特病?
外阴佩吉特病要注意些什么?
外阴佩吉特病要多久才能好?
外阴佩吉特病严重,会导致什么?
怎么才能让外阴佩吉特病快点好?
外阴佩吉特病应该怎样做才能好得快?
外阴佩吉特病不能吃那些东西?
外阴佩吉特病了怎么样才能好受点?
如何才能快速的治愈外阴佩吉特病?
外阴佩吉特病有多少种?
外阴佩吉特病时吃什么水果好?
外阴佩吉特病需要注意些什么?
外阴佩吉特病煲什么烫好吃
如何快速有效的治疗外阴佩吉特病?
外阴佩吉特病分哪几种类型?
如何防止外阴佩吉特病?
什么偏方对外阴佩吉特病 有用
得了外阴佩吉特病有什么小秘方
什么药方对外阴佩吉特病 有用
长期外阴佩吉特病不好 怎么解决
外阴佩吉特病吃药好还是自然痊愈好?
各种外阴佩吉特病症状和常识用药
外阴佩吉特病后要吃些什么?注意些什么?
۩ 外阴佩吉特病
۞ 外阴佩吉特病的概述
۞ 外阴佩吉特病的病因介绍
۞ 外阴佩吉特病的常见症状
۞ 外阴佩吉特病的并发症
۞ 外阴佩吉特病的相关检查
۞ 外阴佩吉特病的相关诊断
۞ 外阴佩吉特病的鉴别诊断
۞ 外阴佩吉特病的治疗方法
۞ 外阴佩吉特病的预防措施
۞ 外阴佩吉特病的护理介绍
۞ 外阴佩吉特病的饮食保健
中医首页
疾病大全
药方功能
中医养生
中医药库
古今名医
中医医案
中医常识
中医问答
中医养生有道
中医白领养生
中医男人养生
中医女人养生
中医延年益寿
中医少儿益智
中医春季养生
中医夏季养生
中医秋季养生
中医冬季养生
中医美容
美容有方
明星美容秘方
中医祛斑
中医祛皱
中医祛痘
中医护发
中医美乳丰胸
中医美白
药膳食疗
食之有味
四季食疗
性福药膳
疾病食疗
美容药膳
减肥药膳
药粥
药酒
药茶
煲汤
中医减肥
中药减肥
针灸减肥
脐疗减肥
埋线减肥
小儿推拿
三伏天灸
动态前沿
误区提醒
针灸推拿
针刺艾灸
推拿按摩
刮痧
拔罐
耳穴奇谈
针灸美容
针灸减肥
疾病针灸
特色脐疗
望闻问切
四诊合参
小儿四诊
望神观色
五官五轮
听声闻味
百问其症
指上谈病
舌象图解
悬丝诊脉
© 2015-2016 vjvd.com All Rights Reserved.