新浪微博
关注微信
注册
登陆
阴阳平衡
中医健康之道
做福人世
♥外阴纤维肉瘤
♥病因
♥症状
♥诊断
♥检查
♥鉴别
♥并发症
♥预防
♥治疗
中医健道首页
>>外阴纤维肉瘤概述
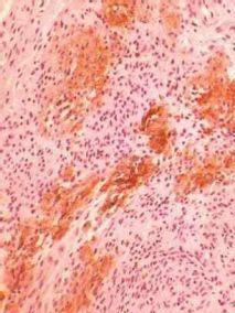
外阴纤维肉瘤是一种罕见的软组织肉瘤,是由成纤维细胞和胶原纤维形成的恶性肿瘤,生长缓慢,可发生局部侵袭性生长及复发。外阴纤维肉瘤在晚期才发生转移。治疗以早期手术局部广泛切除为主,辅以放疗和化疗。
【۩相关文章】
【☺用户提问】
外阴纤维肉瘤是什么病?
什么叫做外阴纤维肉瘤?
外阴纤维肉瘤如何治疗?
外阴纤维肉瘤怎么预防?
外阴纤维肉瘤病因是什么?
外阴纤维肉瘤吃什么药好?
外阴纤维肉瘤吃什么好的快?
如何让外阴纤维肉瘤好的快?
中医如何治疗外阴纤维肉瘤?
西医如何治疗外阴纤维肉瘤?
得了外阴纤维肉瘤怎么办 需要怎么做?
吃什么食物对外阴纤维肉瘤有好处?
外阴纤维肉瘤的原因是什么?
人为什么会得外阴纤维肉瘤?
外阴纤维肉瘤要注意些什么?
外阴纤维肉瘤要多久才能好?
外阴纤维肉瘤严重,会导致什么?
怎么才能让外阴纤维肉瘤快点好?
外阴纤维肉瘤应该怎样做才能好得快?
外阴纤维肉瘤不能吃那些东西?
外阴纤维肉瘤了怎么样才能好受点?
如何才能快速的治愈外阴纤维肉瘤?
外阴纤维肉瘤有多少种?
外阴纤维肉瘤时吃什么水果好?
外阴纤维肉瘤需要注意些什么?
外阴纤维肉瘤煲什么烫好吃
如何快速有效的治疗外阴纤维肉瘤?
外阴纤维肉瘤分哪几种类型?
如何防止外阴纤维肉瘤?
什么偏方对外阴纤维肉瘤 有用
得了外阴纤维肉瘤有什么小秘方
什么药方对外阴纤维肉瘤 有用
长期外阴纤维肉瘤不好 怎么解决
外阴纤维肉瘤吃药好还是自然痊愈好?
各种外阴纤维肉瘤症状和常识用药
外阴纤维肉瘤后要吃些什么?注意些什么?
۩ 外阴纤维肉瘤
۞ 外阴纤维肉瘤的概述
۞ 外阴纤维肉瘤的病因
۞ 外阴纤维肉瘤的症状
۞ 外阴纤维肉瘤的诊断
۞ 外阴纤维肉瘤的检查
۞ 外阴纤维肉瘤的鉴别
۞ 外阴纤维肉瘤的并发症
۞ 外阴纤维肉瘤的预防
۞ 外阴纤维肉瘤的治疗
中医首页
疾病大全
药方功能
中医养生
中医药库
古今名医
中医医案
中医常识
中医问答
中医养生有道
中医白领养生
中医男人养生
中医女人养生
中医延年益寿
中医少儿益智
中医春季养生
中医夏季养生
中医秋季养生
中医冬季养生
中医美容
美容有方
明星美容秘方
中医祛斑
中医祛皱
中医祛痘
中医护发
中医美乳丰胸
中医美白
药膳食疗
食之有味
四季食疗
性福药膳
疾病食疗
美容药膳
减肥药膳
药粥
药酒
药茶
煲汤
中医减肥
中药减肥
针灸减肥
脐疗减肥
埋线减肥
小儿推拿
三伏天灸
动态前沿
误区提醒
针灸推拿
针刺艾灸
推拿按摩
刮痧
拔罐
耳穴奇谈
针灸美容
针灸减肥
疾病针灸
特色脐疗
望闻问切
四诊合参
小儿四诊
望神观色
五官五轮
听声闻味
百问其症
指上谈病
舌象图解
悬丝诊脉
© 2015-2016 vjvd.com All Rights Reserved.