新浪微博
关注微信
注册
登陆
阴阳平衡
中医健康之道
做福人世
♥外阴疣状癌
♥概述
♥病因
♥分型
♥症状
♥检查
♥诊断鉴别
♥并发症
♥治疗
♥预防
♥饮食
♥防治妙招
中医健道首页
>>外阴疣状癌概述
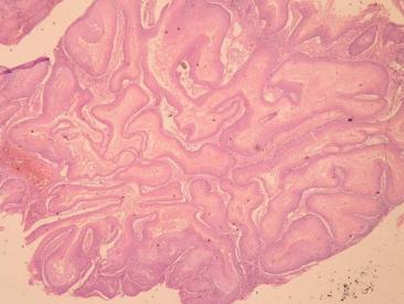
外阴疣状癌系一种特殊的低度恶性鳞状细胞癌,多为发生于浸渍部位(如口腔、外生殖器、肛门和跖部)的原发肿瘤,也可发生于慢性溃疡,化脓性汗腺炎引流窦道等原发病基础上,肿瘤分化好,恶性度低,慢慢地发展成巨大的肿块,甚至可以阻塞外阴。尽管肿瘤肉眼观很可怕,但较少转移到区域淋巴结。
【۩相关文章】
【☺用户提问】
外阴疣状癌是什么病?
什么叫做外阴疣状癌?
外阴疣状癌如何治疗?
外阴疣状癌怎么预防?
外阴疣状癌病因是什么?
外阴疣状癌吃什么药好?
外阴疣状癌吃什么好的快?
如何让外阴疣状癌好的快?
中医如何治疗外阴疣状癌?
西医如何治疗外阴疣状癌?
得了外阴疣状癌怎么办 需要怎么做?
吃什么食物对外阴疣状癌有好处?
外阴疣状癌的原因是什么?
人为什么会得外阴疣状癌?
外阴疣状癌要注意些什么?
外阴疣状癌要多久才能好?
外阴疣状癌严重,会导致什么?
怎么才能让外阴疣状癌快点好?
外阴疣状癌应该怎样做才能好得快?
外阴疣状癌不能吃那些东西?
外阴疣状癌了怎么样才能好受点?
如何才能快速的治愈外阴疣状癌?
外阴疣状癌有多少种?
外阴疣状癌时吃什么水果好?
外阴疣状癌需要注意些什么?
外阴疣状癌煲什么烫好吃
如何快速有效的治疗外阴疣状癌?
外阴疣状癌分哪几种类型?
如何防止外阴疣状癌?
什么偏方对外阴疣状癌 有用
得了外阴疣状癌有什么小秘方
什么药方对外阴疣状癌 有用
长期外阴疣状癌不好 怎么解决
外阴疣状癌吃药好还是自然痊愈好?
各种外阴疣状癌症状和常识用药
外阴疣状癌后要吃些什么?注意些什么?
۩ 外阴疣状癌
۞ 外阴疣状癌的概述
۞ 外阴疣状癌的概述
۞ 外阴疣状癌的病因
۞ 外阴疣状癌的分型
۞ 外阴疣状癌的症状
۞ 外阴疣状癌的检查
۞ 外阴疣状癌的诊断鉴别
۞ 外阴疣状癌的并发症
۞ 外阴疣状癌的治疗
۞ 外阴疣状癌的预防
۞ 外阴疣状癌的饮食
۞ 外阴疣状癌的防治妙招
中医首页
疾病大全
药方功能
中医养生
中医药库
古今名医
中医医案
中医常识
中医问答
中医养生有道
中医白领养生
中医男人养生
中医女人养生
中医延年益寿
中医少儿益智
中医春季养生
中医夏季养生
中医秋季养生
中医冬季养生
中医美容
美容有方
明星美容秘方
中医祛斑
中医祛皱
中医祛痘
中医护发
中医美乳丰胸
中医美白
药膳食疗
食之有味
四季食疗
性福药膳
疾病食疗
美容药膳
减肥药膳
药粥
药酒
药茶
煲汤
中医减肥
中药减肥
针灸减肥
脐疗减肥
埋线减肥
小儿推拿
三伏天灸
动态前沿
误区提醒
针灸推拿
针刺艾灸
推拿按摩
刮痧
拔罐
耳穴奇谈
针灸美容
针灸减肥
疾病针灸
特色脐疗
望闻问切
四诊合参
小儿四诊
望神观色
五官五轮
听声闻味
百问其症
指上谈病
舌象图解
悬丝诊脉
© 2015-2016 vjvd.com All Rights Reserved.