新浪微博
关注微信
注册
登陆
阴阳平衡
中医健康之道
做福人世
♥外阴脂肪瘤
♥疾病描述
♥症状体征
♥疾病病因
♥诊断检查
♥治疗方案
♥护理调养
♥预防措施
中医健道首页
>>外阴脂肪瘤概述
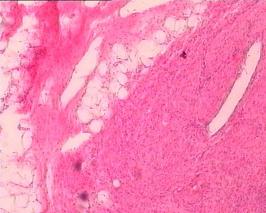
外阴脂肪瘤生长于阴阜、阴唇或外阴其他脂肪组织处,肿瘤大小不一,大多呈小息肉状,最大有时可达10~12cm直径。大多无蒂或带蒂。质地较软,瘤表面呈分叶状,瘤外有包膜。生长缓慢。恶变机会亦少。故一般无不适症状,如肿瘤体积较大,则会有行走不便或性交困难,如肿瘤沿膀胱阴道隔伸展至阴道旁组织,则可阻碍分娩。切面组织呈黄色同一般脂肪组织。镜下见成熟脂肪细胞,脂肪细胞群间有少量纤维此种肿瘤具有特殊的柔软性。
【۩相关文章】
【☺用户提问】
外阴脂肪瘤是什么病?
什么叫做外阴脂肪瘤?
外阴脂肪瘤如何治疗?
外阴脂肪瘤怎么预防?
外阴脂肪瘤病因是什么?
外阴脂肪瘤吃什么药好?
外阴脂肪瘤吃什么好的快?
如何让外阴脂肪瘤好的快?
中医如何治疗外阴脂肪瘤?
西医如何治疗外阴脂肪瘤?
得了外阴脂肪瘤怎么办 需要怎么做?
吃什么食物对外阴脂肪瘤有好处?
外阴脂肪瘤的原因是什么?
人为什么会得外阴脂肪瘤?
外阴脂肪瘤要注意些什么?
外阴脂肪瘤要多久才能好?
外阴脂肪瘤严重,会导致什么?
怎么才能让外阴脂肪瘤快点好?
外阴脂肪瘤应该怎样做才能好得快?
外阴脂肪瘤不能吃那些东西?
外阴脂肪瘤了怎么样才能好受点?
如何才能快速的治愈外阴脂肪瘤?
外阴脂肪瘤有多少种?
外阴脂肪瘤时吃什么水果好?
外阴脂肪瘤需要注意些什么?
外阴脂肪瘤煲什么烫好吃
如何快速有效的治疗外阴脂肪瘤?
外阴脂肪瘤分哪几种类型?
如何防止外阴脂肪瘤?
什么偏方对外阴脂肪瘤 有用
得了外阴脂肪瘤有什么小秘方
什么药方对外阴脂肪瘤 有用
长期外阴脂肪瘤不好 怎么解决
外阴脂肪瘤吃药好还是自然痊愈好?
各种外阴脂肪瘤症状和常识用药
外阴脂肪瘤后要吃些什么?注意些什么?
۩ 外阴脂肪瘤
۞ 外阴脂肪瘤的概述
۞ 外阴脂肪瘤的疾病描述
۞ 外阴脂肪瘤的症状体征
۞ 外阴脂肪瘤的疾病病因
۞ 外阴脂肪瘤的诊断检查
۞ 外阴脂肪瘤的治疗方案
۞ 外阴脂肪瘤的护理调养
۞ 外阴脂肪瘤的预防措施
中医首页
疾病大全
药方功能
中医养生
中医药库
古今名医
中医医案
中医常识
中医问答
中医养生有道
中医白领养生
中医男人养生
中医女人养生
中医延年益寿
中医少儿益智
中医春季养生
中医夏季养生
中医秋季养生
中医冬季养生
中医美容
美容有方
明星美容秘方
中医祛斑
中医祛皱
中医祛痘
中医护发
中医美乳丰胸
中医美白
药膳食疗
食之有味
四季食疗
性福药膳
疾病食疗
美容药膳
减肥药膳
药粥
药酒
药茶
煲汤
中医减肥
中药减肥
针灸减肥
脐疗减肥
埋线减肥
小儿推拿
三伏天灸
动态前沿
误区提醒
针灸推拿
针刺艾灸
推拿按摩
刮痧
拔罐
耳穴奇谈
针灸美容
针灸减肥
疾病针灸
特色脐疗
望闻问切
四诊合参
小儿四诊
望神观色
五官五轮
听声闻味
百问其症
指上谈病
舌象图解
悬丝诊脉
© 2015-2016 vjvd.com All Rights Reserved.