新浪微博
关注微信
注册
登陆
阴阳平衡
中医健康之道
做福人世
♥阴道鳞状上皮癌阴道蚂蟥叮吸
♥病因
♥症状
♥检查
♥诊断
♥鉴别
♥并发症
♥治疗
♥家庭护理
中医健道首页
>>阴道鳞状上皮癌阴道蚂蟥叮吸概述
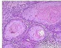
阴道鳞状上皮癌是最常见的阴道恶性肿瘤,由于阴道黏膜由鳞状上皮覆盖,80%~90%的阴道原发癌是鳞状细胞癌(primary squamous cell carcinoma of vagina),一般认为,阴道鳞状上皮癌可能均有由上皮内肿瘤(VAIN)期,经微小浸润癌到浸润癌的全过程,由于病例较少,此癌瘤自然发展的过程尚未能全面了解。
【۩相关文章】
【☺用户提问】
阴道鳞状上皮癌阴道蚂蟥叮吸是什么病?
什么叫做阴道鳞状上皮癌阴道蚂蟥叮吸?
阴道鳞状上皮癌阴道蚂蟥叮吸如何治疗?
阴道鳞状上皮癌阴道蚂蟥叮吸怎么预防?
阴道鳞状上皮癌阴道蚂蟥叮吸病因是什么?
阴道鳞状上皮癌阴道蚂蟥叮吸吃什么药好?
阴道鳞状上皮癌阴道蚂蟥叮吸吃什么好的快?
如何让阴道鳞状上皮癌阴道蚂蟥叮吸好的快?
中医如何治疗阴道鳞状上皮癌阴道蚂蟥叮吸?
西医如何治疗阴道鳞状上皮癌阴道蚂蟥叮吸?
得了阴道鳞状上皮癌阴道蚂蟥叮吸怎么办 需要怎么做?
吃什么食物对阴道鳞状上皮癌阴道蚂蟥叮吸有好处?
阴道鳞状上皮癌阴道蚂蟥叮吸的原因是什么?
人为什么会得阴道鳞状上皮癌阴道蚂蟥叮吸?
阴道鳞状上皮癌阴道蚂蟥叮吸要注意些什么?
阴道鳞状上皮癌阴道蚂蟥叮吸要多久才能好?
阴道鳞状上皮癌阴道蚂蟥叮吸严重,会导致什么?
怎么才能让阴道鳞状上皮癌阴道蚂蟥叮吸快点好?
阴道鳞状上皮癌阴道蚂蟥叮吸应该怎样做才能好得快?
阴道鳞状上皮癌阴道蚂蟥叮吸不能吃那些东西?
阴道鳞状上皮癌阴道蚂蟥叮吸了怎么样才能好受点?
如何才能快速的治愈阴道鳞状上皮癌阴道蚂蟥叮吸?
阴道鳞状上皮癌阴道蚂蟥叮吸有多少种?
阴道鳞状上皮癌阴道蚂蟥叮吸时吃什么水果好?
阴道鳞状上皮癌阴道蚂蟥叮吸需要注意些什么?
阴道鳞状上皮癌阴道蚂蟥叮吸煲什么烫好吃
如何快速有效的治疗阴道鳞状上皮癌阴道蚂蟥叮吸?
阴道鳞状上皮癌阴道蚂蟥叮吸分哪几种类型?
如何防止阴道鳞状上皮癌阴道蚂蟥叮吸?
什么偏方对阴道鳞状上皮癌阴道蚂蟥叮吸 有用
得了阴道鳞状上皮癌阴道蚂蟥叮吸有什么小秘方
什么药方对阴道鳞状上皮癌阴道蚂蟥叮吸 有用
长期阴道鳞状上皮癌阴道蚂蟥叮吸不好 怎么解决
阴道鳞状上皮癌阴道蚂蟥叮吸吃药好还是自然痊愈好?
各种阴道鳞状上皮癌阴道蚂蟥叮吸症状和常识用药
阴道鳞状上皮癌阴道蚂蟥叮吸后要吃些什么?注意些什么?
۩ 阴道鳞状上皮癌阴道蚂蟥叮吸
۞ 阴道鳞状上皮癌阴道蚂蟥叮吸的概述
۞ 阴道鳞状上皮癌阴道蚂蟥叮吸的病因
۞ 阴道鳞状上皮癌阴道蚂蟥叮吸的症状
۞ 阴道鳞状上皮癌阴道蚂蟥叮吸的检查
۞ 阴道鳞状上皮癌阴道蚂蟥叮吸的诊断
۞ 阴道鳞状上皮癌阴道蚂蟥叮吸的鉴别
۞ 阴道鳞状上皮癌阴道蚂蟥叮吸的并发症
۞ 阴道鳞状上皮癌阴道蚂蟥叮吸的治疗
۞ 阴道鳞状上皮癌阴道蚂蟥叮吸的家庭护理
中医首页
疾病大全
药方功能
中医养生
中医药库
古今名医
中医医案
中医常识
中医问答
中医养生有道
中医白领养生
中医男人养生
中医女人养生
中医延年益寿
中医少儿益智
中医春季养生
中医夏季养生
中医秋季养生
中医冬季养生
中医美容
美容有方
明星美容秘方
中医祛斑
中医祛皱
中医祛痘
中医护发
中医美乳丰胸
中医美白
药膳食疗
食之有味
四季食疗
性福药膳
疾病食疗
美容药膳
减肥药膳
药粥
药酒
药茶
煲汤
中医减肥
中药减肥
针灸减肥
脐疗减肥
埋线减肥
小儿推拿
三伏天灸
动态前沿
误区提醒
针灸推拿
针刺艾灸
推拿按摩
刮痧
拔罐
耳穴奇谈
针灸美容
针灸减肥
疾病针灸
特色脐疗
望闻问切
四诊合参
小儿四诊
望神观色
五官五轮
听声闻味
百问其症
指上谈病
舌象图解
悬丝诊脉
© 2015-2016 vjvd.com All Rights Reserved.