中医健道首页>>肺动脉高压概述

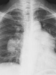
肺动脉高压是一种极度严重的疾病。75%的患者集中于20~40岁年龄段,15%的患者年龄在20岁以下。肺动脉高压的症状包括:呼吸短促、易于疲劳、晕厥、胸痛以及腿部和踝部水肿。此外,心脏听诊可闻P2亢进。如果不及时治疗,患者的肺动脉高压会逐步加重,甚至使寿命缩短。多数肺动脉高压相关的症状源自右心衰竭。在上世纪90年代以前,医学界对这种疾病确实缺少治疗手段。但此后一些新的药物陆续被研发出来,患者5年或10年平均生存率可提高数倍。药物之外,基因治疗、活体肺移植、房间隔造瘘等新疗法也不断出现。肺动脉高压分为原发性和继发性两类。
© 2015-2016 vjvd.com All Rights Reserved.