新浪微博
关注微信
注册
登陆
阴阳平衡
中医健康之道
做福人世
♥Kartagener综合征
♥病因
♥症状
♥并发症
♥检查
♥预防
♥治疗
♥鉴别
中医健道首页
>>Kartagener综合征概述
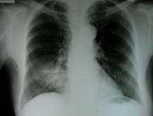
Kartagener由支气管扩张、慢性鼻窦炎或鼻息肉、内脏反位三联征组成,主要以反复呼吸道化脓性感染、咯血为特征的支气管扩张症状及副鼻窦炎和右位心。Kartagener,又称为内脏逆位-鼻窦炎-支气管扩张综合征,或称家族性支气管扩张,属于先天性常染色体隐性遗传疾病,具有家族遗传倾向,可同代或隔代发病,其父母多有近亲婚姻史。
【۩相关文章】
【☺用户提问】
Kartagener综合征是什么病?
什么叫做Kartagener综合征?
Kartagener综合征如何治疗?
Kartagener综合征怎么预防?
Kartagener综合征病因是什么?
Kartagener综合征吃什么药好?
Kartagener综合征吃什么好的快?
如何让Kartagener综合征好的快?
中医如何治疗Kartagener综合征?
西医如何治疗Kartagener综合征?
得了Kartagener综合征怎么办 需要怎么做?
吃什么食物对Kartagener综合征有好处?
Kartagener综合征的原因是什么?
人为什么会得Kartagener综合征?
Kartagener综合征要注意些什么?
Kartagener综合征要多久才能好?
Kartagener综合征严重,会导致什么?
怎么才能让Kartagener综合征快点好?
Kartagener综合征应该怎样做才能好得快?
Kartagener综合征不能吃那些东西?
Kartagener综合征了怎么样才能好受点?
如何才能快速的治愈Kartagener综合征?
Kartagener综合征有多少种?
Kartagener综合征时吃什么水果好?
Kartagener综合征需要注意些什么?
Kartagener综合征煲什么烫好吃
如何快速有效的治疗Kartagener综合征?
Kartagener综合征分哪几种类型?
如何防止Kartagener综合征?
什么偏方对Kartagener综合征 有用
得了Kartagener综合征有什么小秘方
什么药方对Kartagener综合征 有用
长期Kartagener综合征不好 怎么解决
Kartagener综合征吃药好还是自然痊愈好?
各种Kartagener综合征症状和常识用药
Kartagener综合征后要吃些什么?注意些什么?
۩ Kartagener综合征
۞ Kartagener综合征的概述
۞ Kartagener综合征的病因
۞ Kartagener综合征的症状
۞ Kartagener综合征的并发症
۞ Kartagener综合征的检查
۞ Kartagener综合征的预防
۞ Kartagener综合征的治疗
۞ Kartagener综合征的鉴别
中医首页
疾病大全
药方功能
中医养生
中医药库
古今名医
中医医案
中医常识
中医问答
中医养生有道
中医白领养生
中医男人养生
中医女人养生
中医延年益寿
中医少儿益智
中医春季养生
中医夏季养生
中医秋季养生
中医冬季养生
中医美容
美容有方
明星美容秘方
中医祛斑
中医祛皱
中医祛痘
中医护发
中医美乳丰胸
中医美白
药膳食疗
食之有味
四季食疗
性福药膳
疾病食疗
美容药膳
减肥药膳
药粥
药酒
药茶
煲汤
中医减肥
中药减肥
针灸减肥
脐疗减肥
埋线减肥
小儿推拿
三伏天灸
动态前沿
误区提醒
针灸推拿
针刺艾灸
推拿按摩
刮痧
拔罐
耳穴奇谈
针灸美容
针灸减肥
疾病针灸
特色脐疗
望闻问切
四诊合参
小儿四诊
望神观色
五官五轮
听声闻味
百问其症
指上谈病
舌象图解
悬丝诊脉
© 2015-2016 vjvd.com All Rights Reserved.