新浪微博
关注微信
注册
登陆
阴阳平衡
中医健康之道
做福人世
♥肝海绵状血管瘤
♥疾病概述
♥疾病描述
♥症状体征
♥疾病病因
♥病理生理
♥诊断检查
♥鉴别诊断
♥治疗方案
♥并发症
♥预后及预防
中医健道首页
>>肝海绵状血管瘤概述
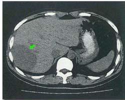
肝脏海绵状血管瘤是一种较为常见的肝脏良性肿瘤。除皮肤和黏膜外,肝脏是海绵状血管瘤的最好发部位,可单发或多发,有蒂或无蒂,多见于肝脏表面,其体积从针尖至核桃或儿头大小,严重者可占据整个肝脏,向腹部明显膨出。
西医学名:
肝脏海绵状血管瘤
主要病因:
目前普遍认为在胚胎发育过程中,由于血管发育异常,引起肿瘤样增生而形成血管瘤。
所属科室:
肝胆外科
主要症状:
腹部包块,胃肠道症状,压迫症状
英文名称:
cavernous hemangioma of liver
疾病代码:
ICD:D13.4
【۩相关文章】
【☺用户提问】
肝海绵状血管瘤是什么病?
什么叫做肝海绵状血管瘤?
肝海绵状血管瘤如何治疗?
肝海绵状血管瘤怎么预防?
肝海绵状血管瘤病因是什么?
肝海绵状血管瘤吃什么药好?
肝海绵状血管瘤吃什么好的快?
如何让肝海绵状血管瘤好的快?
中医如何治疗肝海绵状血管瘤?
西医如何治疗肝海绵状血管瘤?
得了肝海绵状血管瘤怎么办 需要怎么做?
吃什么食物对肝海绵状血管瘤有好处?
肝海绵状血管瘤的原因是什么?
人为什么会得肝海绵状血管瘤?
肝海绵状血管瘤要注意些什么?
肝海绵状血管瘤要多久才能好?
肝海绵状血管瘤严重,会导致什么?
怎么才能让肝海绵状血管瘤快点好?
肝海绵状血管瘤应该怎样做才能好得快?
肝海绵状血管瘤不能吃那些东西?
肝海绵状血管瘤了怎么样才能好受点?
如何才能快速的治愈肝海绵状血管瘤?
肝海绵状血管瘤有多少种?
肝海绵状血管瘤时吃什么水果好?
肝海绵状血管瘤需要注意些什么?
肝海绵状血管瘤煲什么烫好吃
如何快速有效的治疗肝海绵状血管瘤?
肝海绵状血管瘤分哪几种类型?
如何防止肝海绵状血管瘤?
什么偏方对肝海绵状血管瘤 有用
得了肝海绵状血管瘤有什么小秘方
什么药方对肝海绵状血管瘤 有用
长期肝海绵状血管瘤不好 怎么解决
肝海绵状血管瘤吃药好还是自然痊愈好?
各种肝海绵状血管瘤症状和常识用药
肝海绵状血管瘤后要吃些什么?注意些什么?
۩ 肝海绵状血管瘤
۞ 肝海绵状血管瘤的概述
۞ 肝海绵状血管瘤的疾病概述
۞ 肝海绵状血管瘤的疾病描述
۞ 肝海绵状血管瘤的症状体征
۞ 肝海绵状血管瘤的疾病病因
۞ 肝海绵状血管瘤的病理生理
۞ 肝海绵状血管瘤的诊断检查
۞ 肝海绵状血管瘤的鉴别诊断
۞ 肝海绵状血管瘤的治疗方案
۞ 肝海绵状血管瘤的并发症
۞ 肝海绵状血管瘤的预后及预防
中医首页
疾病大全
药方功能
中医养生
中医药库
古今名医
中医医案
中医常识
中医问答
中医养生有道
中医白领养生
中医男人养生
中医女人养生
中医延年益寿
中医少儿益智
中医春季养生
中医夏季养生
中医秋季养生
中医冬季养生
中医美容
美容有方
明星美容秘方
中医祛斑
中医祛皱
中医祛痘
中医护发
中医美乳丰胸
中医美白
药膳食疗
食之有味
四季食疗
性福药膳
疾病食疗
美容药膳
减肥药膳
药粥
药酒
药茶
煲汤
中医减肥
中药减肥
针灸减肥
脐疗减肥
埋线减肥
小儿推拿
三伏天灸
动态前沿
误区提醒
针灸推拿
针刺艾灸
推拿按摩
刮痧
拔罐
耳穴奇谈
针灸美容
针灸减肥
疾病针灸
特色脐疗
望闻问切
四诊合参
小儿四诊
望神观色
五官五轮
听声闻味
百问其症
指上谈病
舌象图解
悬丝诊脉
© 2015-2016 vjvd.com All Rights Reserved.