新浪微博
关注微信
注册
登陆
阴阳平衡
中医健康之道
做福人世
♥肝紫癜病
♥概述
♥流行病学
♥病因
♥发病机制
♥临床表现
♥并发症
♥实验室检查
♥其他辅助检查
♥诊断
♥鉴别诊断
♥治疗
♥预后
中医健道首页
>>肝紫癜病概述
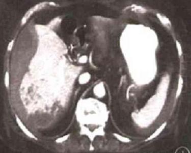
肝紫癜病罕见,近年报告增多,可能与化学细胞毒性药物、γ射线,细菌或病毒的感染以及免疫缺陷有关。以随机分布于肝内充满血液的腔隙为特征。[1]病因不甚明确,可能和一些疾病如严重结核、恶性肿瘤、获得性免疫缺陷综合征(aids)、服用某些药物(如类固醇激素、硫唑嘌呤、他莫昔芬)、长期血液透析、器官移植后免疫抑制药的应用等有关。
【۩相关文章】
【☺用户提问】
肝紫癜病是什么病?
什么叫做肝紫癜病?
肝紫癜病如何治疗?
肝紫癜病怎么预防?
肝紫癜病病因是什么?
肝紫癜病吃什么药好?
肝紫癜病吃什么好的快?
如何让肝紫癜病好的快?
中医如何治疗肝紫癜病?
西医如何治疗肝紫癜病?
得了肝紫癜病怎么办 需要怎么做?
吃什么食物对肝紫癜病有好处?
肝紫癜病的原因是什么?
人为什么会得肝紫癜病?
肝紫癜病要注意些什么?
肝紫癜病要多久才能好?
肝紫癜病严重,会导致什么?
怎么才能让肝紫癜病快点好?
肝紫癜病应该怎样做才能好得快?
肝紫癜病不能吃那些东西?
肝紫癜病了怎么样才能好受点?
如何才能快速的治愈肝紫癜病?
肝紫癜病有多少种?
肝紫癜病时吃什么水果好?
肝紫癜病需要注意些什么?
肝紫癜病煲什么烫好吃
如何快速有效的治疗肝紫癜病?
肝紫癜病分哪几种类型?
如何防止肝紫癜病?
什么偏方对肝紫癜病 有用
得了肝紫癜病有什么小秘方
什么药方对肝紫癜病 有用
长期肝紫癜病不好 怎么解决
肝紫癜病吃药好还是自然痊愈好?
各种肝紫癜病症状和常识用药
肝紫癜病后要吃些什么?注意些什么?
۩ 肝紫癜病
۞ 肝紫癜病的概述
۞ 肝紫癜病的概述
۞ 肝紫癜病的流行病学
۞ 肝紫癜病的病因
۞ 肝紫癜病的发病机制
۞ 肝紫癜病的临床表现
۞ 肝紫癜病的并发症
۞ 肝紫癜病的实验室检查
۞ 肝紫癜病的其他辅助检查
۞ 肝紫癜病的诊断
۞ 肝紫癜病的鉴别诊断
۞ 肝紫癜病的治疗
۞ 肝紫癜病的预后
中医首页
疾病大全
药方功能
中医养生
中医药库
古今名医
中医医案
中医常识
中医问答
中医养生有道
中医白领养生
中医男人养生
中医女人养生
中医延年益寿
中医少儿益智
中医春季养生
中医夏季养生
中医秋季养生
中医冬季养生
中医美容
美容有方
明星美容秘方
中医祛斑
中医祛皱
中医祛痘
中医护发
中医美乳丰胸
中医美白
药膳食疗
食之有味
四季食疗
性福药膳
疾病食疗
美容药膳
减肥药膳
药粥
药酒
药茶
煲汤
中医减肥
中药减肥
针灸减肥
脐疗减肥
埋线减肥
小儿推拿
三伏天灸
动态前沿
误区提醒
针灸推拿
针刺艾灸
推拿按摩
刮痧
拔罐
耳穴奇谈
针灸美容
针灸减肥
疾病针灸
特色脐疗
望闻问切
四诊合参
小儿四诊
望神观色
五官五轮
听声闻味
百问其症
指上谈病
舌象图解
悬丝诊脉
© 2015-2016 vjvd.com All Rights Reserved.