新浪微博
关注微信
注册
登陆
阴阳平衡
中医健康之道
做福人世
♥胸腔积液
♥疾病病因
♥临床表现
♥疾病分类
♥疾病检查
♥疾病诊断
♥疾病治疗
中医健道首页
>>胸腔积液概述
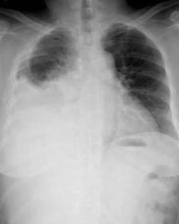
胸腔积液实际上是胸膜腔积液。正常人胸膜腔内有3~15ml液体,在呼吸运动时起润滑作用,但胸膜腔中的积液量并非固定不变。即使是正常人,每24小时亦有500~1000ml的液体形成与吸收。胸膜腔内液体自毛细血管的静脉端再吸收,其余的液体由淋巴系统回收至血液,滤过与吸收处于动态平衡。若由于全身或局部病变破坏了此种动态平衡,致使胸膜腔内液体形成过快或吸收过缓,就会产生胸腔积液(简称胸液)。胸腔积液可分为漏出液、渗出液、脓胸、血胸、乳糜胸,针对不同的症状,应给予相应的治疗。
【۩相关文章】
恶性肿瘤造成的胸腔积液,
请问结核性胸膜炎胸腔积液B超检测8.6cm是什么意思?
请问结核性胸膜炎胸腔积液B超检测8.6cm是什么意思?
结核性包裹胸腔积液能否用药物治好?
我的右侧有少量胸腔积液
我的右侧有少量胸腔积液请问不动手术能治好吗
【☺用户提问】
胸腔积液是什么病?
什么叫做胸腔积液?
胸腔积液如何治疗?
胸腔积液怎么预防?
胸腔积液病因是什么?
胸腔积液吃什么药好?
胸腔积液吃什么好的快?
如何让胸腔积液好的快?
中医如何治疗胸腔积液?
西医如何治疗胸腔积液?
得了胸腔积液怎么办 需要怎么做?
吃什么食物对胸腔积液有好处?
胸腔积液的原因是什么?
人为什么会得胸腔积液?
胸腔积液要注意些什么?
胸腔积液要多久才能好?
胸腔积液严重,会导致什么?
怎么才能让胸腔积液快点好?
胸腔积液应该怎样做才能好得快?
胸腔积液不能吃那些东西?
胸腔积液了怎么样才能好受点?
如何才能快速的治愈胸腔积液?
胸腔积液有多少种?
胸腔积液时吃什么水果好?
胸腔积液需要注意些什么?
胸腔积液煲什么烫好吃
如何快速有效的治疗胸腔积液?
胸腔积液分哪几种类型?
如何防止胸腔积液?
什么偏方对胸腔积液 有用
得了胸腔积液有什么小秘方
什么药方对胸腔积液 有用
长期胸腔积液不好 怎么解决
胸腔积液吃药好还是自然痊愈好?
各种胸腔积液症状和常识用药
胸腔积液后要吃些什么?注意些什么?
۩ 胸腔积液
۞ 胸腔积液的概述
۞ 胸腔积液的疾病病因
۞ 胸腔积液的临床表现
۞ 胸腔积液的疾病分类
۞ 胸腔积液的疾病检查
۞ 胸腔积液的疾病诊断
۞ 胸腔积液的疾病治疗
中医首页
疾病大全
药方功能
中医养生
中医药库
古今名医
中医医案
中医常识
中医问答
中医养生有道
中医白领养生
中医男人养生
中医女人养生
中医延年益寿
中医少儿益智
中医春季养生
中医夏季养生
中医秋季养生
中医冬季养生
中医美容
美容有方
明星美容秘方
中医祛斑
中医祛皱
中医祛痘
中医护发
中医美乳丰胸
中医美白
药膳食疗
食之有味
四季食疗
性福药膳
疾病食疗
美容药膳
减肥药膳
药粥
药酒
药茶
煲汤
中医减肥
中药减肥
针灸减肥
脐疗减肥
埋线减肥
小儿推拿
三伏天灸
动态前沿
误区提醒
针灸推拿
针刺艾灸
推拿按摩
刮痧
拔罐
耳穴奇谈
针灸美容
针灸减肥
疾病针灸
特色脐疗
望闻问切
四诊合参
小儿四诊
望神观色
五官五轮
听声闻味
百问其症
指上谈病
舌象图解
悬丝诊脉
© 2015-2016 vjvd.com All Rights Reserved.