新浪微博
关注微信
注册
登陆
阴阳平衡
中医健康之道
做福人世
♥原发性肺动脉高压
♥基本介绍
♥主要病因
♥症状体征
♥诊断依据
♥诊断检查
♥鉴别诊断
♥治疗方案
♥预后情况
♥预防方法
中医健道首页
>>原发性肺动脉高压概述
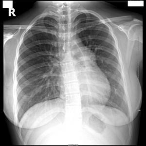
原发性肺动脉高压[1](primarypulmonaryhypertension)是一少见疾病,因其病因不明,而区别于继发性肺动脉高压。常见的初始症状如下:呼吸困难(60%),疲乏(73%),胸痛(47%),眩晕(41%),水肿(37%),晕厥(36%),心悸(33%)。
【۩相关文章】
【☺用户提问】
原发性肺动脉高压是什么病?
什么叫做原发性肺动脉高压?
原发性肺动脉高压如何治疗?
原发性肺动脉高压怎么预防?
原发性肺动脉高压病因是什么?
原发性肺动脉高压吃什么药好?
原发性肺动脉高压吃什么好的快?
如何让原发性肺动脉高压好的快?
中医如何治疗原发性肺动脉高压?
西医如何治疗原发性肺动脉高压?
得了原发性肺动脉高压怎么办 需要怎么做?
吃什么食物对原发性肺动脉高压有好处?
原发性肺动脉高压的原因是什么?
人为什么会得原发性肺动脉高压?
原发性肺动脉高压要注意些什么?
原发性肺动脉高压要多久才能好?
原发性肺动脉高压严重,会导致什么?
怎么才能让原发性肺动脉高压快点好?
原发性肺动脉高压应该怎样做才能好得快?
原发性肺动脉高压不能吃那些东西?
原发性肺动脉高压了怎么样才能好受点?
如何才能快速的治愈原发性肺动脉高压?
原发性肺动脉高压有多少种?
原发性肺动脉高压时吃什么水果好?
原发性肺动脉高压需要注意些什么?
原发性肺动脉高压煲什么烫好吃
如何快速有效的治疗原发性肺动脉高压?
原发性肺动脉高压分哪几种类型?
如何防止原发性肺动脉高压?
什么偏方对原发性肺动脉高压 有用
得了原发性肺动脉高压有什么小秘方
什么药方对原发性肺动脉高压 有用
长期原发性肺动脉高压不好 怎么解决
原发性肺动脉高压吃药好还是自然痊愈好?
各种原发性肺动脉高压症状和常识用药
原发性肺动脉高压后要吃些什么?注意些什么?
۩ 原发性肺动脉高压
۞ 原发性肺动脉高压的概述
۞ 原发性肺动脉高压的基本介绍
۞ 原发性肺动脉高压的主要病因
۞ 原发性肺动脉高压的症状体征
۞ 原发性肺动脉高压的诊断依据
۞ 原发性肺动脉高压的诊断检查
۞ 原发性肺动脉高压的鉴别诊断
۞ 原发性肺动脉高压的治疗方案
۞ 原发性肺动脉高压的预后情况
۞ 原发性肺动脉高压的预防方法
中医首页
疾病大全
药方功能
中医养生
中医药库
古今名医
中医医案
中医常识
中医问答
中医养生有道
中医白领养生
中医男人养生
中医女人养生
中医延年益寿
中医少儿益智
中医春季养生
中医夏季养生
中医秋季养生
中医冬季养生
中医美容
美容有方
明星美容秘方
中医祛斑
中医祛皱
中医祛痘
中医护发
中医美乳丰胸
中医美白
药膳食疗
食之有味
四季食疗
性福药膳
疾病食疗
美容药膳
减肥药膳
药粥
药酒
药茶
煲汤
中医减肥
中药减肥
针灸减肥
脐疗减肥
埋线减肥
小儿推拿
三伏天灸
动态前沿
误区提醒
针灸推拿
针刺艾灸
推拿按摩
刮痧
拔罐
耳穴奇谈
针灸美容
针灸减肥
疾病针灸
特色脐疗
望闻问切
四诊合参
小儿四诊
望神观色
五官五轮
听声闻味
百问其症
指上谈病
舌象图解
悬丝诊脉
© 2015-2016 vjvd.com All Rights Reserved.