新浪微博
关注微信
注册
登陆
阴阳平衡
中医健康之道
做福人世
♥短骨骨干结核
♥病因
♥临床表现
♥检查
♥诊断
♥鉴别诊断
♥并发症
♥治疗
♥预后
♥饮食保健
中医健道首页
>>短骨骨干结核概述
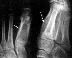
手足短骨骨干结核较为常见。结核由血循环侵犯短骨骨干而致病。病人多为10岁以下儿童,成年人和老年人少见,病变也常多发。
【۩相关文章】
【☺用户提问】
短骨骨干结核是什么病?
什么叫做短骨骨干结核?
短骨骨干结核如何治疗?
短骨骨干结核怎么预防?
短骨骨干结核病因是什么?
短骨骨干结核吃什么药好?
短骨骨干结核吃什么好的快?
如何让短骨骨干结核好的快?
中医如何治疗短骨骨干结核?
西医如何治疗短骨骨干结核?
得了短骨骨干结核怎么办 需要怎么做?
吃什么食物对短骨骨干结核有好处?
短骨骨干结核的原因是什么?
人为什么会得短骨骨干结核?
短骨骨干结核要注意些什么?
短骨骨干结核要多久才能好?
短骨骨干结核严重,会导致什么?
怎么才能让短骨骨干结核快点好?
短骨骨干结核应该怎样做才能好得快?
短骨骨干结核不能吃那些东西?
短骨骨干结核了怎么样才能好受点?
如何才能快速的治愈短骨骨干结核?
短骨骨干结核有多少种?
短骨骨干结核时吃什么水果好?
短骨骨干结核需要注意些什么?
短骨骨干结核煲什么烫好吃
如何快速有效的治疗短骨骨干结核?
短骨骨干结核分哪几种类型?
如何防止短骨骨干结核?
什么偏方对短骨骨干结核 有用
得了短骨骨干结核有什么小秘方
什么药方对短骨骨干结核 有用
长期短骨骨干结核不好 怎么解决
短骨骨干结核吃药好还是自然痊愈好?
各种短骨骨干结核症状和常识用药
短骨骨干结核后要吃些什么?注意些什么?
۩ 短骨骨干结核
۞ 短骨骨干结核的概述
۞ 短骨骨干结核的病因
۞ 短骨骨干结核的临床表现
۞ 短骨骨干结核的检查
۞ 短骨骨干结核的诊断
۞ 短骨骨干结核的鉴别诊断
۞ 短骨骨干结核的并发症
۞ 短骨骨干结核的治疗
۞ 短骨骨干结核的预后
۞ 短骨骨干结核的饮食保健
中医首页
疾病大全
药方功能
中医养生
中医药库
古今名医
中医医案
中医常识
中医问答
中医养生有道
中医白领养生
中医男人养生
中医女人养生
中医延年益寿
中医少儿益智
中医春季养生
中医夏季养生
中医秋季养生
中医冬季养生
中医美容
美容有方
明星美容秘方
中医祛斑
中医祛皱
中医祛痘
中医护发
中医美乳丰胸
中医美白
药膳食疗
食之有味
四季食疗
性福药膳
疾病食疗
美容药膳
减肥药膳
药粥
药酒
药茶
煲汤
中医减肥
中药减肥
针灸减肥
脐疗减肥
埋线减肥
小儿推拿
三伏天灸
动态前沿
误区提醒
针灸推拿
针刺艾灸
推拿按摩
刮痧
拔罐
耳穴奇谈
针灸美容
针灸减肥
疾病针灸
特色脐疗
望闻问切
四诊合参
小儿四诊
望神观色
五官五轮
听声闻味
百问其症
指上谈病
舌象图解
悬丝诊脉
© 2015-2016 vjvd.com All Rights Reserved.