新浪微博
关注微信
注册
登陆
阴阳平衡
中医健康之道
做福人世
♥氟骨症
♥定义
♥概述
♥病因
♥流行病学
♥病因病理
♥发病机制
♥临床表现
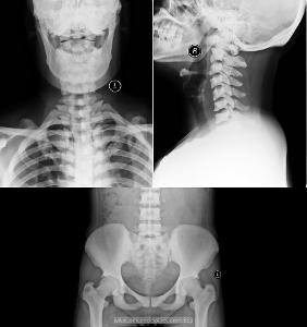
♥影像学表现
♥鉴别诊断
♥检查方法
♥并发症
♥治疗
♥预防保健
中医健道首页
>>氟骨症概述
氟骨症(fluorosis of bone)是指长期摄入过量氟化物引起氟中毒并累及骨组织的一种慢性侵袭性全身性骨病。氟中毒累及牙齿称氟斑牙。1901年,Eaqer最早报道氟斑牙,1932年丹麦的Motlev和Gudijonsson命名为“氟中毒”(fluorosis),并认为本病伴有骨硬化。
【۩相关文章】
【☺用户提问】
氟骨症是什么病?
什么叫做氟骨症?
氟骨症如何治疗?
氟骨症怎么预防?
氟骨症病因是什么?
氟骨症吃什么药好?
氟骨症吃什么好的快?
如何让氟骨症好的快?
中医如何治疗氟骨症?
西医如何治疗氟骨症?
得了氟骨症怎么办 需要怎么做?
吃什么食物对氟骨症有好处?
氟骨症的原因是什么?
人为什么会得氟骨症?
氟骨症要注意些什么?
氟骨症要多久才能好?
氟骨症严重,会导致什么?
怎么才能让氟骨症快点好?
氟骨症应该怎样做才能好得快?
氟骨症不能吃那些东西?
氟骨症了怎么样才能好受点?
如何才能快速的治愈氟骨症?
氟骨症有多少种?
氟骨症时吃什么水果好?
氟骨症需要注意些什么?
氟骨症煲什么烫好吃
如何快速有效的治疗氟骨症?
氟骨症分哪几种类型?
如何防止氟骨症?
什么偏方对氟骨症 有用
得了氟骨症有什么小秘方
什么药方对氟骨症 有用
长期氟骨症不好 怎么解决
氟骨症吃药好还是自然痊愈好?
各种氟骨症症状和常识用药
氟骨症后要吃些什么?注意些什么?
۩ 氟骨症
۞ 氟骨症的概述
۞ 氟骨症的定义
۞ 氟骨症的概述
۞ 氟骨症的病因
۞ 氟骨症的流行病学
۞ 氟骨症的病因病理
۞ 氟骨症的发病机制
۞ 氟骨症的临床表现
۞ 氟骨症的影像学表现
۞ 氟骨症的鉴别诊断
۞ 氟骨症的检查方法
۞ 氟骨症的并发症
۞ 氟骨症的治疗
۞ 氟骨症的预防保健
中医首页
疾病大全
药方功能
中医养生
中医药库
古今名医
中医医案
中医常识
中医问答
中医养生有道
中医白领养生
中医男人养生
中医女人养生
中医延年益寿
中医少儿益智
中医春季养生
中医夏季养生
中医秋季养生
中医冬季养生
中医美容
美容有方
明星美容秘方
中医祛斑
中医祛皱
中医祛痘
中医护发
中医美乳丰胸
中医美白
药膳食疗
食之有味
四季食疗
性福药膳
疾病食疗
美容药膳
减肥药膳
药粥
药酒
药茶
煲汤
中医减肥
中药减肥
针灸减肥
脐疗减肥
埋线减肥
小儿推拿
三伏天灸
动态前沿
误区提醒
针灸推拿
针刺艾灸
推拿按摩
刮痧
拔罐
耳穴奇谈
针灸美容
针灸减肥
疾病针灸
特色脐疗
望闻问切
四诊合参
小儿四诊
望神观色
五官五轮
听声闻味
百问其症
指上谈病
舌象图解
悬丝诊脉
© 2015-2016 vjvd.com All Rights Reserved.