新浪微博
关注微信
注册
登陆
阴阳平衡
中医健康之道
做福人世
♥肱骨头骨折
♥病理病因
♥症状体征
♥检查
♥诊断鉴别
♥疾病治疗
♥预防护理
♥饮食保健
中医健道首页
>>肱骨头骨折概述
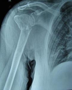
单纯的肱骨头骨折比较少见,是一种关节内骨折,主要因间接外力所致。骨折多见于青壮年,偶见于老年。根据骨折的不同程度可分为肱骨头裂折、肱骨头骨折脱位及肱骨头粉碎性骨折三个类型。
【۩相关文章】
【☺用户提问】
肱骨头骨折是什么病?
什么叫做肱骨头骨折?
肱骨头骨折如何治疗?
肱骨头骨折怎么预防?
肱骨头骨折病因是什么?
肱骨头骨折吃什么药好?
肱骨头骨折吃什么好的快?
如何让肱骨头骨折好的快?
中医如何治疗肱骨头骨折?
西医如何治疗肱骨头骨折?
得了肱骨头骨折怎么办 需要怎么做?
吃什么食物对肱骨头骨折有好处?
肱骨头骨折的原因是什么?
人为什么会得肱骨头骨折?
肱骨头骨折要注意些什么?
肱骨头骨折要多久才能好?
肱骨头骨折严重,会导致什么?
怎么才能让肱骨头骨折快点好?
肱骨头骨折应该怎样做才能好得快?
肱骨头骨折不能吃那些东西?
肱骨头骨折了怎么样才能好受点?
如何才能快速的治愈肱骨头骨折?
肱骨头骨折有多少种?
肱骨头骨折时吃什么水果好?
肱骨头骨折需要注意些什么?
肱骨头骨折煲什么烫好吃
如何快速有效的治疗肱骨头骨折?
肱骨头骨折分哪几种类型?
如何防止肱骨头骨折?
什么偏方对肱骨头骨折 有用
得了肱骨头骨折有什么小秘方
什么药方对肱骨头骨折 有用
长期肱骨头骨折不好 怎么解决
肱骨头骨折吃药好还是自然痊愈好?
各种肱骨头骨折症状和常识用药
肱骨头骨折后要吃些什么?注意些什么?
۩ 肱骨头骨折
۞ 肱骨头骨折的概述
۞ 肱骨头骨折的病理病因
۞ 肱骨头骨折的症状体征
۞ 肱骨头骨折的检查
۞ 肱骨头骨折的诊断鉴别
۞ 肱骨头骨折的疾病治疗
۞ 肱骨头骨折的预防护理
۞ 肱骨头骨折的饮食保健
中医首页
疾病大全
药方功能
中医养生
中医药库
古今名医
中医医案
中医常识
中医问答
中医养生有道
中医白领养生
中医男人养生
中医女人养生
中医延年益寿
中医少儿益智
中医春季养生
中医夏季养生
中医秋季养生
中医冬季养生
中医美容
美容有方
明星美容秘方
中医祛斑
中医祛皱
中医祛痘
中医护发
中医美乳丰胸
中医美白
药膳食疗
食之有味
四季食疗
性福药膳
疾病食疗
美容药膳
减肥药膳
药粥
药酒
药茶
煲汤
中医减肥
中药减肥
针灸减肥
脐疗减肥
埋线减肥
小儿推拿
三伏天灸
动态前沿
误区提醒
针灸推拿
针刺艾灸
推拿按摩
刮痧
拔罐
耳穴奇谈
针灸美容
针灸减肥
疾病针灸
特色脐疗
望闻问切
四诊合参
小儿四诊
望神观色
五官五轮
听声闻味
百问其症
指上谈病
舌象图解
悬丝诊脉
© 2015-2016 vjvd.com All Rights Reserved.