新浪微博
关注微信
注册
登陆
阴阳平衡
中医健康之道
做福人世
♥肱骨外髁骨折
♥定义
♥概述
♥病因
♥发病机理
♥临床表现
♥检查
♥鉴别诊断
♥并发症
♥治疗措施
♥预防
中医健道首页
>>肱骨外髁骨折概述
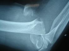
肱骨外髁骨折是常见的儿童肘部骨折之一,约占儿童肘部骨折的6.7%,其发生率仅次于肱骨髁上骨折劢。常见于5-10岁儿童。骨折块常包括外上髁、肱骨小头骨骺部分滑车骨骺及干骺端骨质,属于Salter-Harris骨骺损伤的第Ⅳ型。
【۩相关文章】
3岁小孩左胳膊肱骨外髁骨折容易引起后遗症吗?
3岁小孩左胳膊肱骨外髁骨折容易引起后遗症吗?
【☺用户提问】
肱骨外髁骨折是什么病?
什么叫做肱骨外髁骨折?
肱骨外髁骨折如何治疗?
肱骨外髁骨折怎么预防?
肱骨外髁骨折病因是什么?
肱骨外髁骨折吃什么药好?
肱骨外髁骨折吃什么好的快?
如何让肱骨外髁骨折好的快?
中医如何治疗肱骨外髁骨折?
西医如何治疗肱骨外髁骨折?
得了肱骨外髁骨折怎么办 需要怎么做?
吃什么食物对肱骨外髁骨折有好处?
肱骨外髁骨折的原因是什么?
人为什么会得肱骨外髁骨折?
肱骨外髁骨折要注意些什么?
肱骨外髁骨折要多久才能好?
肱骨外髁骨折严重,会导致什么?
怎么才能让肱骨外髁骨折快点好?
肱骨外髁骨折应该怎样做才能好得快?
肱骨外髁骨折不能吃那些东西?
肱骨外髁骨折了怎么样才能好受点?
如何才能快速的治愈肱骨外髁骨折?
肱骨外髁骨折有多少种?
肱骨外髁骨折时吃什么水果好?
肱骨外髁骨折需要注意些什么?
肱骨外髁骨折煲什么烫好吃
如何快速有效的治疗肱骨外髁骨折?
肱骨外髁骨折分哪几种类型?
如何防止肱骨外髁骨折?
什么偏方对肱骨外髁骨折 有用
得了肱骨外髁骨折有什么小秘方
什么药方对肱骨外髁骨折 有用
长期肱骨外髁骨折不好 怎么解决
肱骨外髁骨折吃药好还是自然痊愈好?
各种肱骨外髁骨折症状和常识用药
肱骨外髁骨折后要吃些什么?注意些什么?
۩ 肱骨外髁骨折
۞ 肱骨外髁骨折的概述
۞ 肱骨外髁骨折的定义
۞ 肱骨外髁骨折的概述
۞ 肱骨外髁骨折的病因
۞ 肱骨外髁骨折的发病机理
۞ 肱骨外髁骨折的临床表现
۞ 肱骨外髁骨折的检查
۞ 肱骨外髁骨折的鉴别诊断
۞ 肱骨外髁骨折的并发症
۞ 肱骨外髁骨折的治疗措施
۞ 肱骨外髁骨折的预防
中医首页
疾病大全
药方功能
中医养生
中医药库
古今名医
中医医案
中医常识
中医问答
中医养生有道
中医白领养生
中医男人养生
中医女人养生
中医延年益寿
中医少儿益智
中医春季养生
中医夏季养生
中医秋季养生
中医冬季养生
中医美容
美容有方
明星美容秘方
中医祛斑
中医祛皱
中医祛痘
中医护发
中医美乳丰胸
中医美白
药膳食疗
食之有味
四季食疗
性福药膳
疾病食疗
美容药膳
减肥药膳
药粥
药酒
药茶
煲汤
中医减肥
中药减肥
针灸减肥
脐疗减肥
埋线减肥
小儿推拿
三伏天灸
动态前沿
误区提醒
针灸推拿
针刺艾灸
推拿按摩
刮痧
拔罐
耳穴奇谈
针灸美容
针灸减肥
疾病针灸
特色脐疗
望闻问切
四诊合参
小儿四诊
望神观色
五官五轮
听声闻味
百问其症
指上谈病
舌象图解
悬丝诊脉
© 2015-2016 vjvd.com All Rights Reserved.