新浪微博
关注微信
注册
登陆
阴阳平衡
中医健康之道
做福人世
♥肱骨小头骨折
♥定义
♥病因
♥症状诊断
♥检查
♥鉴别诊断
♥并发症
♥治疗
♥注意事项
中医健道首页
>>肱骨小头骨折概述
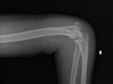
肱骨小头骨折是少见的肘部损伤。成人多发生单纯肱骨小头骨折,儿童则可发生合并有部分外髁骨折的肱骨小头骨折。该骨折易误诊为肱骨外髁或外上髁骨折。
【۩相关文章】
【☺用户提问】
肱骨小头骨折是什么病?
什么叫做肱骨小头骨折?
肱骨小头骨折如何治疗?
肱骨小头骨折怎么预防?
肱骨小头骨折病因是什么?
肱骨小头骨折吃什么药好?
肱骨小头骨折吃什么好的快?
如何让肱骨小头骨折好的快?
中医如何治疗肱骨小头骨折?
西医如何治疗肱骨小头骨折?
得了肱骨小头骨折怎么办 需要怎么做?
吃什么食物对肱骨小头骨折有好处?
肱骨小头骨折的原因是什么?
人为什么会得肱骨小头骨折?
肱骨小头骨折要注意些什么?
肱骨小头骨折要多久才能好?
肱骨小头骨折严重,会导致什么?
怎么才能让肱骨小头骨折快点好?
肱骨小头骨折应该怎样做才能好得快?
肱骨小头骨折不能吃那些东西?
肱骨小头骨折了怎么样才能好受点?
如何才能快速的治愈肱骨小头骨折?
肱骨小头骨折有多少种?
肱骨小头骨折时吃什么水果好?
肱骨小头骨折需要注意些什么?
肱骨小头骨折煲什么烫好吃
如何快速有效的治疗肱骨小头骨折?
肱骨小头骨折分哪几种类型?
如何防止肱骨小头骨折?
什么偏方对肱骨小头骨折 有用
得了肱骨小头骨折有什么小秘方
什么药方对肱骨小头骨折 有用
长期肱骨小头骨折不好 怎么解决
肱骨小头骨折吃药好还是自然痊愈好?
各种肱骨小头骨折症状和常识用药
肱骨小头骨折后要吃些什么?注意些什么?
۩ 肱骨小头骨折
۞ 肱骨小头骨折的概述
۞ 肱骨小头骨折的定义
۞ 肱骨小头骨折的病因
۞ 肱骨小头骨折的症状诊断
۞ 肱骨小头骨折的检查
۞ 肱骨小头骨折的鉴别诊断
۞ 肱骨小头骨折的并发症
۞ 肱骨小头骨折的治疗
۞ 肱骨小头骨折的注意事项
中医首页
疾病大全
药方功能
中医养生
中医药库
古今名医
中医医案
中医常识
中医问答
中医养生有道
中医白领养生
中医男人养生
中医女人养生
中医延年益寿
中医少儿益智
中医春季养生
中医夏季养生
中医秋季养生
中医冬季养生
中医美容
美容有方
明星美容秘方
中医祛斑
中医祛皱
中医祛痘
中医护发
中医美乳丰胸
中医美白
药膳食疗
食之有味
四季食疗
性福药膳
疾病食疗
美容药膳
减肥药膳
药粥
药酒
药茶
煲汤
中医减肥
中药减肥
针灸减肥
脐疗减肥
埋线减肥
小儿推拿
三伏天灸
动态前沿
误区提醒
针灸推拿
针刺艾灸
推拿按摩
刮痧
拔罐
耳穴奇谈
针灸美容
针灸减肥
疾病针灸
特色脐疗
望闻问切
四诊合参
小儿四诊
望神观色
五官五轮
听声闻味
百问其症
指上谈病
舌象图解
悬丝诊脉
© 2015-2016 vjvd.com All Rights Reserved.