新浪微博
关注微信
注册
登陆
阴阳平衡
中医健康之道
做福人世
♥骨膜性软骨肉瘤
♥定义
♥病因
♥病理改变
♥临床表现
♥辅助检查
♥鉴别诊断
♥并发症
♥治疗措施
♥预防
中医健道首页
>>骨膜性软骨肉瘤概述
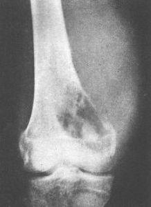
骨膜性软骨肉瘤是较少见的一种亚型,因其有独特的解剖和组织学特点,预后比中心性软骨肉瘤好,肿块多位于长骨的干骺端或骨干的一端,好发于股骨、胫骨和肱骨。临床症状主要为患处肿胀,伴轻度疼痛或无疼痛。治疗以手术切除为主,很少出现转移。
【۩相关文章】
【☺用户提问】
骨膜性软骨肉瘤是什么病?
什么叫做骨膜性软骨肉瘤?
骨膜性软骨肉瘤如何治疗?
骨膜性软骨肉瘤怎么预防?
骨膜性软骨肉瘤病因是什么?
骨膜性软骨肉瘤吃什么药好?
骨膜性软骨肉瘤吃什么好的快?
如何让骨膜性软骨肉瘤好的快?
中医如何治疗骨膜性软骨肉瘤?
西医如何治疗骨膜性软骨肉瘤?
得了骨膜性软骨肉瘤怎么办 需要怎么做?
吃什么食物对骨膜性软骨肉瘤有好处?
骨膜性软骨肉瘤的原因是什么?
人为什么会得骨膜性软骨肉瘤?
骨膜性软骨肉瘤要注意些什么?
骨膜性软骨肉瘤要多久才能好?
骨膜性软骨肉瘤严重,会导致什么?
怎么才能让骨膜性软骨肉瘤快点好?
骨膜性软骨肉瘤应该怎样做才能好得快?
骨膜性软骨肉瘤不能吃那些东西?
骨膜性软骨肉瘤了怎么样才能好受点?
如何才能快速的治愈骨膜性软骨肉瘤?
骨膜性软骨肉瘤有多少种?
骨膜性软骨肉瘤时吃什么水果好?
骨膜性软骨肉瘤需要注意些什么?
骨膜性软骨肉瘤煲什么烫好吃
如何快速有效的治疗骨膜性软骨肉瘤?
骨膜性软骨肉瘤分哪几种类型?
如何防止骨膜性软骨肉瘤?
什么偏方对骨膜性软骨肉瘤 有用
得了骨膜性软骨肉瘤有什么小秘方
什么药方对骨膜性软骨肉瘤 有用
长期骨膜性软骨肉瘤不好 怎么解决
骨膜性软骨肉瘤吃药好还是自然痊愈好?
各种骨膜性软骨肉瘤症状和常识用药
骨膜性软骨肉瘤后要吃些什么?注意些什么?
۩ 骨膜性软骨肉瘤
۞ 骨膜性软骨肉瘤的概述
۞ 骨膜性软骨肉瘤的定义
۞ 骨膜性软骨肉瘤的病因
۞ 骨膜性软骨肉瘤的病理改变
۞ 骨膜性软骨肉瘤的临床表现
۞ 骨膜性软骨肉瘤的辅助检查
۞ 骨膜性软骨肉瘤的鉴别诊断
۞ 骨膜性软骨肉瘤的并发症
۞ 骨膜性软骨肉瘤的治疗措施
۞ 骨膜性软骨肉瘤的预防
中医首页
疾病大全
药方功能
中医养生
中医药库
古今名医
中医医案
中医常识
中医问答
中医养生有道
中医白领养生
中医男人养生
中医女人养生
中医延年益寿
中医少儿益智
中医春季养生
中医夏季养生
中医秋季养生
中医冬季养生
中医美容
美容有方
明星美容秘方
中医祛斑
中医祛皱
中医祛痘
中医护发
中医美乳丰胸
中医美白
药膳食疗
食之有味
四季食疗
性福药膳
疾病食疗
美容药膳
减肥药膳
药粥
药酒
药茶
煲汤
中医减肥
中药减肥
针灸减肥
脐疗减肥
埋线减肥
小儿推拿
三伏天灸
动态前沿
误区提醒
针灸推拿
针刺艾灸
推拿按摩
刮痧
拔罐
耳穴奇谈
针灸美容
针灸减肥
疾病针灸
特色脐疗
望闻问切
四诊合参
小儿四诊
望神观色
五官五轮
听声闻味
百问其症
指上谈病
舌象图解
悬丝诊脉
© 2015-2016 vjvd.com All Rights Reserved.