新浪微博
关注微信
注册
登陆
阴阳平衡
中医健康之道
做福人世
♥骨软骨瘤
♥定义
♥概述
♥病因
♥病理
♥临床表现
♥诊断
♥检查化验
♥鉴别诊断
♥并发症
♥治疗
♥预防
♥饮食保健
中医健道首页
>>骨软骨瘤概述
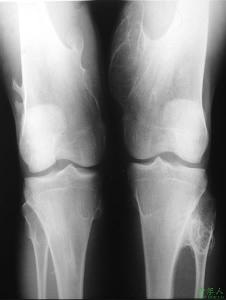
骨软骨瘤严格讲来并不属于肿瘤,而是生长方面的异常,或称错构瘤。瘤体有软骨帽和一个从骨侧面突出的骨组织。骨软内瘤好发于儿童或青年少,一般来说,等到成年后,软骨帽逐渐退化以至消失,偶持久存在并可继发为软骨肉瘤。
【۩相关文章】
单发性与多发性骨软骨瘤的主要区别在那里?单发性骨软骨瘤可能长全身多处的骨性突起吗?
单发性与多发性骨软骨瘤的主要区别在那里?单发性骨软骨瘤可能长全身多处的骨性突起吗?
单发性与多发性骨软骨瘤的主要区别在那里?单发性骨软骨瘤可能长全身多处的骨性突起吗?
【☺用户提问】
骨软骨瘤是什么病?
什么叫做骨软骨瘤?
骨软骨瘤如何治疗?
骨软骨瘤怎么预防?
骨软骨瘤病因是什么?
骨软骨瘤吃什么药好?
骨软骨瘤吃什么好的快?
如何让骨软骨瘤好的快?
中医如何治疗骨软骨瘤?
西医如何治疗骨软骨瘤?
得了骨软骨瘤怎么办 需要怎么做?
吃什么食物对骨软骨瘤有好处?
骨软骨瘤的原因是什么?
人为什么会得骨软骨瘤?
骨软骨瘤要注意些什么?
骨软骨瘤要多久才能好?
骨软骨瘤严重,会导致什么?
怎么才能让骨软骨瘤快点好?
骨软骨瘤应该怎样做才能好得快?
骨软骨瘤不能吃那些东西?
骨软骨瘤了怎么样才能好受点?
如何才能快速的治愈骨软骨瘤?
骨软骨瘤有多少种?
骨软骨瘤时吃什么水果好?
骨软骨瘤需要注意些什么?
骨软骨瘤煲什么烫好吃
如何快速有效的治疗骨软骨瘤?
骨软骨瘤分哪几种类型?
如何防止骨软骨瘤?
什么偏方对骨软骨瘤 有用
得了骨软骨瘤有什么小秘方
什么药方对骨软骨瘤 有用
长期骨软骨瘤不好 怎么解决
骨软骨瘤吃药好还是自然痊愈好?
各种骨软骨瘤症状和常识用药
骨软骨瘤后要吃些什么?注意些什么?
۩ 骨软骨瘤
۞ 骨软骨瘤的概述
۞ 骨软骨瘤的定义
۞ 骨软骨瘤的概述
۞ 骨软骨瘤的病因
۞ 骨软骨瘤的病理
۞ 骨软骨瘤的临床表现
۞ 骨软骨瘤的诊断
۞ 骨软骨瘤的检查化验
۞ 骨软骨瘤的鉴别诊断
۞ 骨软骨瘤的并发症
۞ 骨软骨瘤的治疗
۞ 骨软骨瘤的预防
۞ 骨软骨瘤的饮食保健
中医首页
疾病大全
药方功能
中医养生
中医药库
古今名医
中医医案
中医常识
中医问答
中医养生有道
中医白领养生
中医男人养生
中医女人养生
中医延年益寿
中医少儿益智
中医春季养生
中医夏季养生
中医秋季养生
中医冬季养生
中医美容
美容有方
明星美容秘方
中医祛斑
中医祛皱
中医祛痘
中医护发
中医美乳丰胸
中医美白
药膳食疗
食之有味
四季食疗
性福药膳
疾病食疗
美容药膳
减肥药膳
药粥
药酒
药茶
煲汤
中医减肥
中药减肥
针灸减肥
脐疗减肥
埋线减肥
小儿推拿
三伏天灸
动态前沿
误区提醒
针灸推拿
针刺艾灸
推拿按摩
刮痧
拔罐
耳穴奇谈
针灸美容
针灸减肥
疾病针灸
特色脐疗
望闻问切
四诊合参
小儿四诊
望神观色
五官五轮
听声闻味
百问其症
指上谈病
舌象图解
悬丝诊脉
© 2015-2016 vjvd.com All Rights Reserved.