新浪微博
关注微信
注册
登陆
阴阳平衡
中医健康之道
做福人世
♥骨纤维异常增殖症
♥定义
♥概述
♥病因
♥症状
♥检查化验
♥鉴别诊断
♥并发症
♥治疗措施
♥预后
中医健道首页
>>骨纤维异常增殖症概述
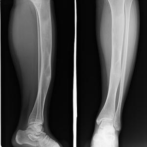
骨纤维异常增殖症是一种病因不明、缓慢进展的自限性良性骨纤维组织疾病。正常骨组织被吸收,而代之以均质梭形细胞的纤维组织和发育不良的网状骨骨小梁,可能系网状骨未成熟期骨成熟停滞,开出生后网状骨支持紊乱,或构成骨的间质分化不良所致。
【۩相关文章】
【☺用户提问】
骨纤维异常增殖症是什么病?
什么叫做骨纤维异常增殖症?
骨纤维异常增殖症如何治疗?
骨纤维异常增殖症怎么预防?
骨纤维异常增殖症病因是什么?
骨纤维异常增殖症吃什么药好?
骨纤维异常增殖症吃什么好的快?
如何让骨纤维异常增殖症好的快?
中医如何治疗骨纤维异常增殖症?
西医如何治疗骨纤维异常增殖症?
得了骨纤维异常增殖症怎么办 需要怎么做?
吃什么食物对骨纤维异常增殖症有好处?
骨纤维异常增殖症的原因是什么?
人为什么会得骨纤维异常增殖症?
骨纤维异常增殖症要注意些什么?
骨纤维异常增殖症要多久才能好?
骨纤维异常增殖症严重,会导致什么?
怎么才能让骨纤维异常增殖症快点好?
骨纤维异常增殖症应该怎样做才能好得快?
骨纤维异常增殖症不能吃那些东西?
骨纤维异常增殖症了怎么样才能好受点?
如何才能快速的治愈骨纤维异常增殖症?
骨纤维异常增殖症有多少种?
骨纤维异常增殖症时吃什么水果好?
骨纤维异常增殖症需要注意些什么?
骨纤维异常增殖症煲什么烫好吃
如何快速有效的治疗骨纤维异常增殖症?
骨纤维异常增殖症分哪几种类型?
如何防止骨纤维异常增殖症?
什么偏方对骨纤维异常增殖症 有用
得了骨纤维异常增殖症有什么小秘方
什么药方对骨纤维异常增殖症 有用
长期骨纤维异常增殖症不好 怎么解决
骨纤维异常增殖症吃药好还是自然痊愈好?
各种骨纤维异常增殖症症状和常识用药
骨纤维异常增殖症后要吃些什么?注意些什么?
۩ 骨纤维异常增殖症
۞ 骨纤维异常增殖症的概述
۞ 骨纤维异常增殖症的定义
۞ 骨纤维异常增殖症的概述
۞ 骨纤维异常增殖症的病因
۞ 骨纤维异常增殖症的症状
۞ 骨纤维异常增殖症的检查化验
۞ 骨纤维异常增殖症的鉴别诊断
۞ 骨纤维异常增殖症的并发症
۞ 骨纤维异常增殖症的治疗措施
۞ 骨纤维异常增殖症的预后
中医首页
疾病大全
药方功能
中医养生
中医药库
古今名医
中医医案
中医常识
中医问答
中医养生有道
中医白领养生
中医男人养生
中医女人养生
中医延年益寿
中医少儿益智
中医春季养生
中医夏季养生
中医秋季养生
中医冬季养生
中医美容
美容有方
明星美容秘方
中医祛斑
中医祛皱
中医祛痘
中医护发
中医美乳丰胸
中医美白
药膳食疗
食之有味
四季食疗
性福药膳
疾病食疗
美容药膳
减肥药膳
药粥
药酒
药茶
煲汤
中医减肥
中药减肥
针灸减肥
脐疗减肥
埋线减肥
小儿推拿
三伏天灸
动态前沿
误区提醒
针灸推拿
针刺艾灸
推拿按摩
刮痧
拔罐
耳穴奇谈
针灸美容
针灸减肥
疾病针灸
特色脐疗
望闻问切
四诊合参
小儿四诊
望神观色
五官五轮
听声闻味
百问其症
指上谈病
舌象图解
悬丝诊脉
© 2015-2016 vjvd.com All Rights Reserved.