新浪微博
关注微信
注册
登陆
阴阳平衡
中医健康之道
做福人世
♥骨样骨瘤
♥定义
♥概述
♥病因病理
♥症状诊断
♥检查化验
♥鉴别诊断
♥并发症
♥疾病治疗
♥难点对策
♥食疗保健
中医健道首页
>>骨样骨瘤概述
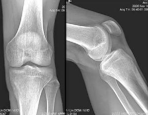
骨样骨瘤于1935年由Jaffe首次报告,是一种良性成骨性疾患,其发病率占骨肿瘤的2%~3%,多发生于长管状骨,约50%~60%发生在股骨和胫骨,少数发生在全身其他骨,肿瘤直径一般不超过1.5cm,接近2/3的病例以持续疼痛为主要症状,具有界限清晰的局灶性病灶,周围可有较大的骨反应区服水杨酸制剂可止痛。
【۩相关文章】
【☺用户提问】
骨样骨瘤是什么病?
什么叫做骨样骨瘤?
骨样骨瘤如何治疗?
骨样骨瘤怎么预防?
骨样骨瘤病因是什么?
骨样骨瘤吃什么药好?
骨样骨瘤吃什么好的快?
如何让骨样骨瘤好的快?
中医如何治疗骨样骨瘤?
西医如何治疗骨样骨瘤?
得了骨样骨瘤怎么办 需要怎么做?
吃什么食物对骨样骨瘤有好处?
骨样骨瘤的原因是什么?
人为什么会得骨样骨瘤?
骨样骨瘤要注意些什么?
骨样骨瘤要多久才能好?
骨样骨瘤严重,会导致什么?
怎么才能让骨样骨瘤快点好?
骨样骨瘤应该怎样做才能好得快?
骨样骨瘤不能吃那些东西?
骨样骨瘤了怎么样才能好受点?
如何才能快速的治愈骨样骨瘤?
骨样骨瘤有多少种?
骨样骨瘤时吃什么水果好?
骨样骨瘤需要注意些什么?
骨样骨瘤煲什么烫好吃
如何快速有效的治疗骨样骨瘤?
骨样骨瘤分哪几种类型?
如何防止骨样骨瘤?
什么偏方对骨样骨瘤 有用
得了骨样骨瘤有什么小秘方
什么药方对骨样骨瘤 有用
长期骨样骨瘤不好 怎么解决
骨样骨瘤吃药好还是自然痊愈好?
各种骨样骨瘤症状和常识用药
骨样骨瘤后要吃些什么?注意些什么?
۩ 骨样骨瘤
۞ 骨样骨瘤的概述
۞ 骨样骨瘤的定义
۞ 骨样骨瘤的概述
۞ 骨样骨瘤的病因病理
۞ 骨样骨瘤的症状诊断
۞ 骨样骨瘤的检查化验
۞ 骨样骨瘤的鉴别诊断
۞ 骨样骨瘤的并发症
۞ 骨样骨瘤的疾病治疗
۞ 骨样骨瘤的难点对策
۞ 骨样骨瘤的食疗保健
中医首页
疾病大全
药方功能
中医养生
中医药库
古今名医
中医医案
中医常识
中医问答
中医养生有道
中医白领养生
中医男人养生
中医女人养生
中医延年益寿
中医少儿益智
中医春季养生
中医夏季养生
中医秋季养生
中医冬季养生
中医美容
美容有方
明星美容秘方
中医祛斑
中医祛皱
中医祛痘
中医护发
中医美乳丰胸
中医美白
药膳食疗
食之有味
四季食疗
性福药膳
疾病食疗
美容药膳
减肥药膳
药粥
药酒
药茶
煲汤
中医减肥
中药减肥
针灸减肥
脐疗减肥
埋线减肥
小儿推拿
三伏天灸
动态前沿
误区提醒
针灸推拿
针刺艾灸
推拿按摩
刮痧
拔罐
耳穴奇谈
针灸美容
针灸减肥
疾病针灸
特色脐疗
望闻问切
四诊合参
小儿四诊
望神观色
五官五轮
听声闻味
百问其症
指上谈病
舌象图解
悬丝诊脉
© 2015-2016 vjvd.com All Rights Reserved.