新浪微博
关注微信
注册
登陆
阴阳平衡
中医健康之道
做福人世
♥肩锁关节脱位
♥疾病概述
♥疾病分类
♥病因
♥病理生理
♥症状体征
♥诊断检查
♥治疗方案
♥饮食保健
中医健道首页
>>肩锁关节脱位概述
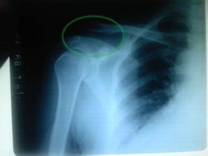
肩锁关节脱位并非少见,在肩部损伤中占4%~6%左右,手法复位后制动较为困难,因而手术率较高。
【۩相关文章】
【☺用户提问】
肩锁关节脱位是什么病?
什么叫做肩锁关节脱位?
肩锁关节脱位如何治疗?
肩锁关节脱位怎么预防?
肩锁关节脱位病因是什么?
肩锁关节脱位吃什么药好?
肩锁关节脱位吃什么好的快?
如何让肩锁关节脱位好的快?
中医如何治疗肩锁关节脱位?
西医如何治疗肩锁关节脱位?
得了肩锁关节脱位怎么办 需要怎么做?
吃什么食物对肩锁关节脱位有好处?
肩锁关节脱位的原因是什么?
人为什么会得肩锁关节脱位?
肩锁关节脱位要注意些什么?
肩锁关节脱位要多久才能好?
肩锁关节脱位严重,会导致什么?
怎么才能让肩锁关节脱位快点好?
肩锁关节脱位应该怎样做才能好得快?
肩锁关节脱位不能吃那些东西?
肩锁关节脱位了怎么样才能好受点?
如何才能快速的治愈肩锁关节脱位?
肩锁关节脱位有多少种?
肩锁关节脱位时吃什么水果好?
肩锁关节脱位需要注意些什么?
肩锁关节脱位煲什么烫好吃
如何快速有效的治疗肩锁关节脱位?
肩锁关节脱位分哪几种类型?
如何防止肩锁关节脱位?
什么偏方对肩锁关节脱位 有用
得了肩锁关节脱位有什么小秘方
什么药方对肩锁关节脱位 有用
长期肩锁关节脱位不好 怎么解决
肩锁关节脱位吃药好还是自然痊愈好?
各种肩锁关节脱位症状和常识用药
肩锁关节脱位后要吃些什么?注意些什么?
۩ 肩锁关节脱位
۞ 肩锁关节脱位的概述
۞ 肩锁关节脱位的疾病概述
۞ 肩锁关节脱位的疾病分类
۞ 肩锁关节脱位的病因
۞ 肩锁关节脱位的病理生理
۞ 肩锁关节脱位的症状体征
۞ 肩锁关节脱位的诊断检查
۞ 肩锁关节脱位的治疗方案
۞ 肩锁关节脱位的饮食保健
中医首页
疾病大全
药方功能
中医养生
中医药库
古今名医
中医医案
中医常识
中医问答
中医养生有道
中医白领养生
中医男人养生
中医女人养生
中医延年益寿
中医少儿益智
中医春季养生
中医夏季养生
中医秋季养生
中医冬季养生
中医美容
美容有方
明星美容秘方
中医祛斑
中医祛皱
中医祛痘
中医护发
中医美乳丰胸
中医美白
药膳食疗
食之有味
四季食疗
性福药膳
疾病食疗
美容药膳
减肥药膳
药粥
药酒
药茶
煲汤
中医减肥
中药减肥
针灸减肥
脐疗减肥
埋线减肥
小儿推拿
三伏天灸
动态前沿
误区提醒
针灸推拿
针刺艾灸
推拿按摩
刮痧
拔罐
耳穴奇谈
针灸美容
针灸减肥
疾病针灸
特色脐疗
望闻问切
四诊合参
小儿四诊
望神观色
五官五轮
听声闻味
百问其症
指上谈病
舌象图解
悬丝诊脉
© 2015-2016 vjvd.com All Rights Reserved.